Пн-сб: 09:00—19:00; вс: 10:00—17:00
whatsapp telegram vkontakte email

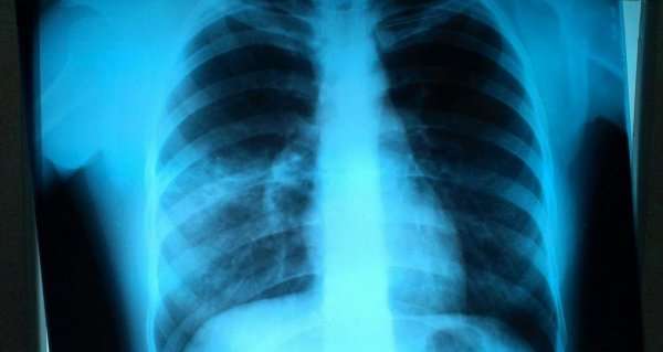
Правосторонняя пневмония на снимке фото

Рентгенография грудной клетки – один из наиболее информативных методов диагностики заболеваний дыхательной системы, включая пневмонию. Он позволяет не только выявить патологический процесс, определить его локализацию и особенности, но и оценить эффективность проводимого лечения. Как же выглядят рентгенологические признаки пневмонии на снимках, и как проводится рентгенография при данной патологии?

Фото1

В каких целях проводят рентгенографию

Пневмония представляет собой воспалительное заболевание, которое вызывают патогенные микроорганизмы – вирусы, бактерии, грибки. Симптомы включают повышение температуры до 38-39 градусов, кашель, одышку, хрипы в грудной клетке, ухудшение общего самочувствия. Сложность диагностики пневмонии заключается в том, что вышеперечисленные признаки характерны не только для воспаления легких, но и для других заболеваний – острого бронхита, плеврита, онкологических процессов и т.д.

Рентгеновское исследование основывается на сканировании внутренних органов с помощью специального аппарата, который излучает электромагнитные волны определенной длины. Проходя сквозь ткани человеческого тела, они оставляют на поверхности пленки следы, из которых формируется изображение соответствующего органа. По ней можно определить патологические изменения и составить полную картину разных заболеваний, в том числе воспалительных процессов в респираторных органах.

В число показаний к проведению рентгена грудной клетки входит кашель с обильным отделением мокроты, сильная лихорадка (38-39 градусов), озноб, боли в груди и другие признаки, которые могут свидетельствовать о патологических процессах в органах дыхательной системы.

ВАЖНО! Постановка диагноза при пневмонии должна основываться не только на рентгеновских снимках, но и на результатах выслушивания грудной клетки, анализов крови и мокроты и других методах обследования.

Существует два основных способа проведения процедуры – обычный (пленочный) рентген и цифровой, который позволяет получить более четкие и информативные снимки, а также снижает рентген-нагрузку на организм. Выбор методики зависит от оснащения конкретного медицинского учреждения – аппараты для цифровой диагностики есть далеко не во всех больницах и поликлиниках.

Чем отличается от флюорографии

Рентгеновское и флюорографическое исследование имеют один и тот же принцип, но при диагностике пневмонии предпочтение отдается рентгену.

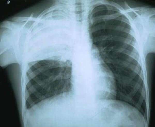
Фото2

Флюорография позволяет выявить изменения в тканях легких на ранних стадиях, но не дает достаточно четкой рентгенологической картины для постановки точного диагноза.

Вместе с тем, коэффициент облучения при проведении процедуры гораздо меньше, чем при рентгеновском исследовании, поэтому флюорографию делают в профилактических целях, а рентген – непосредственно для диагностики патологических процессов при наличии соответствующих симптомов.

Может ли не показать воспаление легких

Пневмония имеет множество форм клинического течения, а очаги воспаления могут располагаться в любом сегменте легких, и в некоторых случаях определить заболевание по рентгенограмме бывает непросто, особенно если поражен небольшой участок органа. Если после проведения исследования у врача остаются сомнения, больному назначаются дополнительные диагностические процедуры – как правило, КТ или МРТ.

СПРАВКА! Труднее всего выявить пневмонию у детей, страдающих от иммунодефицитных состояний, поэтому в таких случаях ребенка лучше сразу направлять на КТ или МРТ.

Как выглядит недуг на снимке

После проведения рентгенографии снимки должен изучить специалист, и на основе полученных данных и результатов других исследований сделать соответствующие выводы и поставить диагноз. В норме легкие и бронхи человека выглядят следующим образом:

  • легочные доли имеют одинаковый, равномерный черный оттенок;
  • в районе сердца наблюдается белый просвет;
  • ребра и ключицы серые, с привычными очертаниями;
  • купола диафрагмы белого цвета;
  • позвоночный столб расположен в центре.

Признаки пневмонии на рентгеновском снимке во многом зависят от формы заболевания и его стадии, а также от локализации патологического процесса. Если исследование показало признаки пневмонии, необходимо как можно скорее приступить к лечению – запущенный патологический процесс опасен не только для здоровья, но и для жизни человека.

Основные признаки, описание

Первый признак пневмонии на рентгеновском снимке – появление очагов затемнения с неровными контурами в разных частях легкого, которые могут иметь разный размер, от 3-4-х до 12 мм.

Фото3

Тени различают по внешнему виду (круглые, овальные кольцевидные) и интенсивности окраски – чем темнее пятно, тем сильнее выражен патологический процесс.

При поражении лимфатических узлов и нарушении кровоснабжения органа могут наблюдаться изменения корней легких, а если болезнь затронула плевру – нарушение в рисунке куполов диафрагмы. В остальном проявления пневмонии зависят от стадии, формы и клинических особенностей заболевания:

  1. Очаговая форма. На рентгене отображаются небольшие (1-1,5 см) тени со слабой или умеренной интенсивностью окраски, неоднородной структурой и нечеткими границами. Очаги поражения могут быть единичными или множественными, а в некоторых случаях они сливаются в одно большое пятно. Корни легких расширены, причем нарушения нормального рисунка органа могут сохраняться в течение нескольких дней после выздоровления.
  2. Крупозная пневмония. Наблюдаются изменения нормального легочного рисунка, жидкость в полости плевры, признаки инфильтрации одной из долей легкого, расширение корней. По мере развития воспалительного процесса выраженность изменений и интенсивность окраски затемнений усиливается.
  3. Интерстициальная форма. На снимке заметно уплотнение корней легких и другие изменения, которые формируют выраженный рисунок, напоминающий ветви дерева.
  4. Абсцедирующая пневмония. Проявляется обширным затемнением пораженной области, признаками утолщения плевры и наличием полостей разного размера, наполненных жидкостью.
  5. Аспирационная форма. Рентген характеризуется треугольными пятнами с однородной структурой, светлыми очагами и приподнятой диафрагмой.

ВАЖНО! Сложнее всего поддается диагностике очаговая пневмония – на первых стадиях она проявляется небольшими очагами инфильтрации, которые не всегда заметны на рентгене.

Стадии заболевания

Воспалительный процесс при пневмонии протекает в несколько этапов, причем каждый из них характеризуется определенными изменениями на рентгеновских снимках.

Фото4

  1. Стадия прилива. Первая стадия болезни продолжается от 12 до 72 часов и проявляется усилением кровообращения в легких, ухудшением их функций и образованием жидкости в альвеолах. На снимках наблюдается четкий рисунок органа, который напоминает решетку, размытость крайних точек и увеличение корней.
  2. Стадия опеченения. Ткани легких уплотняются, и становится похожей на ткани печени. Рисунок легких на данной стадии выражен не так интенсивно, на нем формируются темные пятна со светлыми полосами, корни органа расширены, причем особенно это заметно на пораженной стороне. По мере развития патологического процесса очаги воспаления затемняются, а наличие жидкости хорошо заметно на снимках.
  3. Стадия разрешения. Начало регенерации тканей легких: снижение интенсивности рисунка органа и окраски затемнений, исчезновение крупных элементов в месте поражения и признаков наличия жидкости.

СПРАВКА! Изменения в легочном рисунке могут присутствовать на протяжении нескольких недель после выздоровления.

Как часто можно проходить рентгенодиагностику

В среднем рентгенологическое исследование рекомендуется проходить не более 1-2-х раз в год, но при пневмонии процедура проводится чаще, так как риск развития осложнений превышает опасность от радиационного облучения. Как правило, рентген выполняется не менее 3-х раз – при постановке диагноза «пневмония», через 3-5 дней после начала терапии для контроля ее эффективности, а также после исчезновения клинических симптомов. Повторные снимки после выздоровления больного надо делать для предупреждения осложнений и последствий заболевания – абсцессы легких, разрастание фиброзной ткани и т.д.

Читайте также:

 

Ураганная пневмония что это такое

Противопоказания

Относительными противопоказаниями к проведению процедуры являются беременность (особенно первый триместр) и тяжелое состояние больного. Однако при наличии характерных симптомов процедура рекомендована всем без исключения, в том числе будущим мамам – для уменьшения негативного воздействия на плод живот беременной закрывают специальным фартуком, который не пропускает рентгеновские лучи. Точно определить пневмонию без рентгеновского снимка практически невозможно – из-за отсутствия специфических симптомов слишком велика вероятность ошибки и неправильного лечения.

Полезное видео

Ознакомьтесь подробно о рентгенографии при пневмонии на видео ниже:

Пневмония – опасное заболевание, которое при отсутствии соответствующей терапии может привести к серьезным последствиям. Единственным способом выявить патологические изменения в легких является рентген, поэтому не стоит пренебрегать данной процедурой – своевременное исследование поможет предотвратить угрозу не только для здоровья, но и для жизни больного.

Оцените статью:

Загрузка…

Рентгенограмма грудной клетки до сих пор остаётся «золотым стандартом» диагностики большинства патологий дыхательной системы.

Пневмония не является исключением, признаки патологии несложно обнаружить на снимке. Рентген важен для постановки точного диагноза, а также играет ключевую роль в дифференциальном исследовании. Важно иметь общее представление как выглядит пневмония у взрослых и детей.

Рентген снимок атипичной пневмонии

Атипичная пневмония — собирательный термин, включающий инфекционно-воспалительные поражения тканей лёгких. Причинами являются нехарактерные возбудители — микоплазма, хламидия, легионелла, вирусы. Воспаление лёгких протекает с повышением температуры, одышкой, общим недомоганием.

Как выглядит пневмония на снимке

Диагностировать патологический процесс можно при помощи рентгена. Так, для микоплазменной формы характерна неоднородная инфильтрация лёгочной ткани, она может определяться слабо или быть среднеинтенсивной.

При легионеллезной, на снимке видно уплотнения (инфильтраты) округлой формы, локализующиеся на поверхности одной доли лёгкого. В ряде случаев наблюдается слияние инфильтратов.

У 25% пациентов одновременно с пневмонией определяется плеврит, с незначительным скоплением секрета в плевральной полости.

Правосторонняя бронхо- пневмония

Правосторонняя бронхо- пневмония

Практически невозможно отличить пневмонию Legionella от других, основываясь на таком методе обследования. Присутствие легионеллы или хламидии подтверждается серологическим анализом крови.

Отдельное внимание стоит уделить воспалению неинфекционной этиологии. Одна из таких форм — инфаркт-пневмония, развивающаяся на фоне тромба, попавшего из лёгочной артерии в лёгкое. На рентгеновском изображении выступает как очаговое поражение с относительно чётким контуром.

Другой тип неинфекционного воспаления лёгочной ткани — аспирационный. Причиной выступает содержимое пищеварительного тракта, попавшее в дыхательные пути. Этот тип патологии характеризуется многообразием симптомов, которые имитируют различные заболевания лёгких.

Читайте также:

 

Рецепты на антибиотики при пневмонии

Как правило, на снимке однородный очаг, контуры относительно чёткие. С целью контроля лечения аспирационной пневмонии рекомендуется проходить повторный рентген.

Как выглядит заболевание на рентгеновском снимке

Признаки воспаления лёгких на снимке называют «затемнениями», отображаются они белым цветом, поскольку само изображение является негативом.

Пятна и рентген-признаки:

  • До 3 мм — мелкоочаговые.
  • До 7 мм — среднеочаговые.
  • До 12 мм — крупноочаговые.
  • От 12 мм и более — фокусные.

Пневмония на снимке, в частности затемнения, характеризуются следующим образом:

  • Распространённые. Визуализируют в пределах одного сегмента.
  • Субтотальные. Затемнение большей части поля органа или нескольких сегментов.
  • Тотальные. Патологический процесс охватывает всю область лёгочной ткани. Сильная пневмония слева

Сильная пневмония слева

Дифференциация пневмонии от других патологий лёгких

Важным этапом постановки диагноза остаётся отличие её от других заболеваний лёгких, коронавируса. Так, при бронхите будет отсутствовать затемнение на снимке, вместо этого — усиление лёгочного рисунка.

Усиление лёгочного рисунка

усиление лёгочного рисунка

В случае присутствия инородного тела, наблюдается затемнение с чёткими краями, локализующееся в нижней доле лёгкого. Спутать с воспалением типичного характера сложно.

При плеврите, на снимке скопление экссудата в поражённой области. Плеврит выступает в качестве осложнения недолеченной пневмонии.

Плеврит

При пневмотораксе присутствует характерный уровень жидкости. На снимке отображается как просветление, лёгочный рисунок не просматривается.

Пневмоторакс

Рентгеновский снимок является основным обследованием, а в случае необходимости назначается компьютерная томография.

Пневмония на детских рентген-снимках

Пневмония на рентгенограмме у пациентов детского возраста не имеет выраженных отличий от взрослых, патология также характеризуется очагами просветления и затемнения. У детей в воспалительный процесс вовлекаются нижние отделы лёгких.

Рентгенография показывает следующее:

  • очаговые затемнения диаметром 1-2 мм;
  • увеличение внутригрудных лимфоузлов;
  • деформация и усиление лёгочно-сосудистого рисунка;
  • повышенная плотность затемнения (запущенная патология);
  • в области патологического очага изменяется структура и размер лёгочного корня.

Как выглядит пневмония на снимке

Хоть общая картина детского рентгена не различается от взрослого, некоторая разница имеется. Первое — повышенная реактивность функций иммунной системы. Поэтому даже незначительный инфильтрат способен спровоцировать воспалительную реакцию на обеих долях лёгкого.

При постановке диагноза ребёнку можно ошибиться, что связано с небольшим объёмом лёгочной ткани и повышенным присутствием лёгочного рисунка.

Можно ли не проводить рентгенографию при воспалении лёгких? Действительно, диагностика при подозрении на пневмонию не является обязательным исследованием. Но отказ от рентгенограммы не даст врачу установить диагноз, а следовательно — назначить адекватное лечение. Альтернативными методами диагностики являются КТ и МРТ.

Рентгенография при COVID-19. Опыт ГКБ №40 ДЗМ (Коммунарка)(видео)

Рентгенография – один из основных и обязательных методов исследования, проведение которого необходимо при подозрении на пневмонию. Посредством рентгена подтверждается или исключается диагноз. Только так врач может увидеть полную картину развития заболевания и сделать необходимое заключение.

Повторные проведения рентгенографии позволяют отслеживать динамику патологического процесса, анализировать эффективность лечения, выявлять развитие осложнений. Рентгенодиагностика также проводится после лечения, чтобы оценить состояние легких после болезни.

Описание рентгенологического исследования

Рентгенография области грудной клетки является методом передачи изображения легких на специальную пленку. Проецирование изображения осуществляется благодаря просвечиванию структур организма рентгеновскими лучами.

Базируется принцип рентгенографии на способности рентгеновских лучей проходить сквозь ткани человеческого организма. Этот метод неинвазивный, процедура совершенно безболезненна (пациент ничего не чувствует), но рентгеновские лучи проходят сквозь ткани с разными показателями плотности по-разному. Проецирование изображения анатомических структур на снимке осуществляется благодаря изменению интенсивности рентгеновского излучения при прохождении сквозь структуры и органы разной плотности.

При этом важно понимать, что рентгенограмма (рентгеновский снимок) является двухмерным изображением, при том, что любые исследуемые анатомические структуры – трехмерные объекты.

Фото 2

По этой причине, чтобы получить максимум информации о состоянии органа и оценить развитие пневмонии рентген принято делать в двух проекциях (передней и боковой). В попытках повысить результативность исследования, делают снимок в косой или диагональной проекции. Однако, подобное практикуется редко.

Рентгенография позволяет осуществлять детальное изучение определенных участков легкого, которые по мнению врача, вызывают подозрения. Для этого проводится фокусировка на интересующем участке и получается локализованное изображение очага воспаления.

В зависимости от метода проведения рентгена, выделяют:

  1. Обзорный – проводится рентген легких целиком.
  2. Прицельный – снимок определенного участка.

Что касается основных целей проведения рентгенодиагностики у взрослых людей с пневмонией, они следующие:

  • Подтверждение диагноза, а также определение вида патологического процесса и масштабов поражения легочной ткани.
  • Отслеживание динамики развития болезни с целью определить эффективность проводимого лечения.
  • В целях отслеживания или предупреждения развития осложнений.
  • Также рентген проводится после выздоровления, чтобы оценить структуру легких, предпринять меры по реабилитации пациента и устранению остаточных явлений после перенесенного заболевания.

Как выглядит воспаление легких у взрослых на фото?

Расшифровать данные рентгеновского снимка способен только опытный рентгенолог. Также необходимо знать, что основным рентгенологическим признаком воспаления легких является участок или участки затемнения легочного поля. Однако, здоровые легкие на снимке имеют темный цвет, в то время как затемнения являются белыми участками.

Читайте также:

 

Что пить при кашле при пневмонии

Теперь рассмотрим различные виды пневмонии на фото рентгеновских снимков.

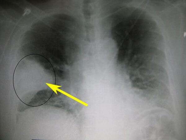
Очаговая

Данному виду патологии свойственно поражение небольших участков легочной ткани. Изображение очаговой пневмонии прослеживается плохо, затемнения могут быть средней или вовсе слабой интенсивности. Размеры очагов поражения в среднем достигают полутора сантиметров, при отсутствии лечения их количество увеличивается. На фото ниже изображен пример правосторонней очаговой пневмонии.

Фото 3

Крупозная или долевая

Данной форме характерно формирование больших участков поражения легочной ткани. Патологический процесс может охватывать как одно, так и оба легких. На иллюстрации ниже показана тяжелая форма крупозной пневмонии.

Фото 4

Сегментарная

При сегментарной форме происходит поражение целого сегмента легкого. При этом пораженный участок исключается из процессов газообмена, что приводит к серьезным затруднениям дыхательного процесса. На иллюстрации ниже изображена правосторонняя сегментарная пневмония.

Фото 5

Интерстициальная

Происходит поражение соединительной ткани, окружающей альвеолярные структуры и кровеносные сосуды легких. На снимке характеризуется формированием участка уплотнения малой интенсивности, может поражать обе доли дыхательного органа. На фото ниже множество светлых разводов в легочном рисунке говорят о наличии интерстициальной инфильтрации.

Фото 6

Важно! Многие задаются вопросом, может ли рентген не показать воспаление легких. К сожалению, такое возможно, но преимущественно на ранних стадиях развития воспаления, когда поражение легочной ткани незначительное.

Помимо понимания того, как на снимке выглядит тот или иной вид пневмонии, важно знать, что покажет исследование после перенесенного заболевания. В подобных случаях результаты рентгенологического исследования приобретают следующие изменения:

  • Уменьшение площади поражения легочной ткани.
  • Изменение цвета участков поражения от светлого к более темному.
  • Если имелись крупные очаги воспаления, они уменьшаются.
  • После перенесенной пневмонии отмечается увеличение корневой области легкого.
  • Также на изображении проекции органа могут присутствовать следы рубцевания тканей.

Иными словами, рентгенодиагностика до и после болезни в значительной мере отличается. Однако изображение, полученное сразу после проведенной терапии, может не показать серьезных различий. Дело в том, что для восстановления структур легкого требуется время, а также многое зависит от вида перенесенной пневмонии и степени ее прогрессирования. Это значит, что нельзя с уверенностью сказать, каким должен быть снимок после выздоровления пациента. Каждый случай уникален.

Результаты

Расшифровывая результаты рентгенологического исследования по снимку, специалист уделяет внимание любым патологическим изменениям. Анализируется локализация очага воспаления, его размеры, форма, ограниченность. При этом, если сравнивать рентген и флюорографию, первый метод диагностики является более информативным уже потому, что размеры проекционного изображения гораздо больше.

Еще одним неоспоримым плюсом рентгенографии является тот факт, что снимок делается в двух проекциях. Это позволяет обнаружить патологические изменения, которые могут быть не видны только в прямой проекции.

При «чтении» рентгенографического снимка врач принимает во внимание изменения по виду (зависят от размера), степени интенсивности затемнения и области поражения.

Деление очагов по видам следующее:

Фото 7

  • мелкие – размером не более 2 мм,
  • средние – 3-7 миллиметров,
  • крупные – в пределах 8-11 миллиметров,
  • фокусные – их размер начинается от 12 мм, но они могут охватывать весь орган.

Выделяют 3 вариации градации очагов по степени интенсивности:

  • начальная степень воспаления – цвет очага темнее кости, но светлее здоровых участков легочной ткани,
  • средняя степень воспаления – цвет очага примерно совпадает с отображение костей на рентгене,
  • тяжелая степень – яркие светлые пятна или области в легочной проекции.

Касательно областей поражения, выделяют одностороннюю и двустороннюю пневмонию в соответствие с тем, в какой доле парного органа образовался воспалительный процесс. В описании рентгенограммы врач-рентгенолог фиксирует все показатели, после чего ставится основной диагноз (если не требуется дополнительной диагностики).

Ограничение на проведение процедуры

Рентгенодиагностика органов грудной клетки имеет одно неоспоримое преимущество – проведение процедуры не требует специальных приготовлений, помимо соблюдения элементарных правил гигиены. Однако, у этого исследования есть несколько противопоказаний:

  • возраст пациента младше 14 лет,
  • беременность,
  • открытые кровотечения.

Обратите внимание! Перечисленные противопоказания не являются строгими, они лишь рекомендательные. Это значит, что, если для лечения беременной женщины или ребенка необходим рентген и от этого может зависеть жизнь пациента, то проведение диагностики возможно.

Заключение

Несмотря на развитие медицины, рентгенография по сей день остается основными методом диагностирования воспаления легких. К рентгену прибегают в первую очередь, если присутствуют признаки развития пневмонии. Очень часто именно рентген является тем исследованием, которое даст необходимое представление о течении пневмонии и позволит врачу назначить лечение.

Загрузка…

Ссылка на основную публикацию
Похожее