Пн-сб: 09:00—19:00; вс: 10:00—17:00
whatsapp telegram vkontakte email

Хрипы при пневмонии у детей когда проходят

Воспаление, поражающее легочные ткани, диагностируется разными методами: клиническими, рентгенологическими, лабораторными. Одним из характерных проявлений патологии является появление дыхательных шумов, отсутствующих, если органы дыхания здоровы. Различного характера хрипы при пневмонии свидетельствуют о протекании патологического процесса.

Базовый шум дыхания

Воздух всегда проходит по воздухоносным путям с определенным звуком, не беззвучно. Это базовые или основные шумы. Если же слышатся побочные звуки, которых в норме быть не должно, врач понимает, что в дыхательной системе произошли изменения, спровоцированные патологией.

Дыхание

Если человек здоров, выслушивается тип дыхания, называемый везикулярным. Он слышится как звук «фэ», нарастая все время, пока длится вдох, и примерно треть выдоха. Этот тип дыхания можно услышать и при воспалении легких, при выслушивании областей, не затронутых патологией.

При воспалении легких дыхание, как правило, бывает ослабленным. Это обусловлено тем, что легкие недостаточно вентилируются, пропускают меньшие объемы воздуха.

Когда в легких прогрессирует воспаление, дыхание пациента становится жестким: усиливается шум прохождения воздуха, слышен звук на протяжении всего времени, пока продолжается выдох. Жесткое и неровное дыхание свидетельствует о том, что помимо воспаления легочной ткани, поражено бронхиальное дерево: ветви его патологически сужаются и воспаляются.

Виды хрипов при пневмонии

Помимо основного дыхания, при аускультации прослушиваются и другие шумы, говорящие о том, что легкие поражены патологическим процессом. При пневмонии они бывают следующих типов:

Аускультация

  • хрипы (сухие или влажные);
  • крепитация;
  • звуки трения плевры.

Хрипами называются звуки, возникающие в воздухоносных путях, когда по ним проводится воздушный поток, из-за неравномерного набухания слизистых оболочек, обструкции, колебания экссудата, слизи и других жидкостей. Если органы дыхания здоровы, такие шумы отсутствуют, встречаются они только при наличии заболевания. Их классифицируют на сухие и влажные. В зависимости от того, насколько велик бронх, выделяют мелко-, средне- и крупнопузырчатые влажные хрипы. Сухие хрипы различают по тональности на басовые и дискантные.

Влажные хрипы

Пневмония в большинстве случаев сопровождается именно влажными хрипами. Их возникновение обусловлено прохождением воздуха по полостям, заполненным большими объёмами мокроты. Такие хрипы выражены, напоминают булькающий звук. Они слышны не только над очаговыми поражениями, но и при прослушивании всей полости легких как в фазе вдоха, так и при выдохе. Наивысшей силы достигают на пике вдоха.

Мокрота в легких

Иногда звуки слышны даже на некотором расстоянии от человека, без стетоскопа. После откашливания мокроты дыхательные пути в течение какого-то периода остаются свободными, влажные хрипы не прослушиваются.

При типичном течении заболевания мокрота начинает образовываться в больших объемах примерно на третий день. В этот период возникают влажные хрипы. В некоторых случаях кашель и хрипы сохраняются около 10-15 дней после купирования острой симптоматики. Это обусловлено тем, что мокрота еще продолжает вырабатываться. Её продукция постепенно сходит на нет, и симптоматика полностью исчезает.

Сухие хрипы

Этот тип патологических шумов наблюдается при воспалении легких реже, обычно в первые сутки или на вторые от начала патологического процесса. Возникновение звука происходит в бронхиальном дереве. Бронхи заполнены густой мокротой, проходя через которую воздух закручивается. Чем мельче бронх, в котором это происходит, тем выше слышимый звук. Басовые хрипы возникают в крупных бронхах. Такие шумы довольно тихие, чтобы их услышать, необходим стетоскоп. Если бронхи сильно сужены, сухой хрип может быть слышен и без прибора, как тихий писк в окончании выдоха.

Звук трения плевры

Воспаление плевры

Если пневмония осложняется присоединением воспаления плевры (гладкой серозной оболочки легких), вместе с хрипами слышится и шум её трения. В норме листы плевры гладкие, при развитии воспаления они утрачивают это свойство. Звук напоминает тихий скрип снега, слышен в обеих фазах дыхания, не меняется после откашливания, имеет тенденцию к усилению при надавливании стетоскопом на выслушиваемую область.

Крепитация

При пневмонии в альвеолах образуется экссудат, а также изменяются параметры сурфактанта. Из-за этого альвеолы схлопываются, а в конечной фазе вдоха резко раскрываются. Этим и обусловлен звук, напоминающий хруст или треск, называющийся крепитацией. Шумы этого типа становятся слышны примерно на вторые сутки развития воспаления и полностью исчезают после выздоровления.

Бронхофония

Если врач обнаруживает при аускультации патологические шумы, он может провести дополнительное исследование. Бронхофонией называется методика, при которой специалист просит пациента шепотом произносить слова, содержащие шипящие звуки, прослушивая в это время грудную клетку стетоскопом. Если легочные ткани здоровы, звуки слышны, но расслышать сказанную фразу невозможно. Если же воспалительный процесс спровоцировал образование уплотнений, слова слышны отчетливо.

Если пневмония осложняется ателектазом, эмфиземой, пневмотораксом, экссудативным плевритом, бронхофония ослабляется (слова слышны совсем нечетко, звук проводится плохо). Усиленная бронхофония наблюдается при неосложненном течении пневмонии, при прорвавшемся абсцессе легкого, инфаркте легкого.

Диагностика

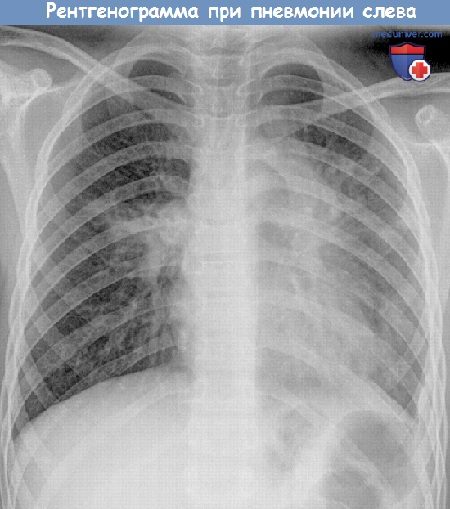
Рентгенография легких

Основным методом исследования, позволяющим поставить точный диагноз при пневмонии, является рентгенография легких. Однако прежде чем отправить человека на такое обследование, терапевт или пульмонолог проводит анализ жалоб пациента и клинический осмотр, включающий применение методов аускультации и перкуссии. Именно данные, полученные при первичном осмотре, позволяют предположить наличие воспалительного процесса в легких и отправить пациента на дальнейшее обследование.

Перкуссия представляет собой методику, применяя которую врач постукивает пальцами по определенным участкам груди или спины в проекции легких и анализирует звуки, возникшие при этом. Специалисты знают, каким звук должен быть, и по его изменению делают выводы о наличии воспаления. При ударе одним пальцем по другому, положенному на определенный участок грудной клетки, раздается звук, характерный для легких, то есть органов, наполненных воздухом. Если же в легочных тканях присутствуют уплотнения, возникающие в результате воспаления, врач слышит притупленный, менее звонкий звук.

Аускультация – это метод прослушивания различных звуков, возникающих, когда воздух проходит по дыхательным путям. Прослушиваются легкие при помощи специального прибора – стетоскопа или стетофонендоскопа.

Хрипы и кашель после пневмонии

Остаточный кашель

По окончании лечения, когда температура нормализуется, лихорадка проходит, хрипы после пневмонии могут сохраняться в течение некоторого времени. Если рентгенологические признаки воспалительного процесса уже исчезли, врач сказал, что пациент здоров, существуют так называемые остаточные явления. Это связано с тем, что дыхательной системе требуется какое-то время для восстановления нормальной структуры и функциональности.

Если хрипы, свист, другие побочные шумы слышатся в течение длительного времени после выздоровления, следует обратиться к врачу и пройти обследование. Патологические звуки, выходящие за рамки нормального шума дыхания, могут быть симптомом различных патологий: спазм бронхов, заболевания гортани, наличие инородного тела в дыхательных путях. Кроме того, хрипы могут носить компенсаторный характер при заболеваниях сердечно-сосудистой системы. Необходимо точно установить причину патологических шумов и начать лечение.

Читайте также:

 

Бисептол лечение пневмоцистной пневмонии у

Как определить, что у ребенка воспаление легких? Как правильно лечить пневмонию у детей?

Воспаление лёгких — опасная болезнь, поэтому ее нужно уметь правильно лечить. Особенно это актуально по отношению к малышам, так как согласно статистике, каждый год во всем мире от пневмонии умирают 1,4 миллиона детей в возрасте до 5 лет. Несмотря на достижения современной медицины, воспаление легких по частоте смертельных исходов занимает первое место среди всех инфекционных заболеваний.

Пневмония или воспаление легких — это инфекционное заболевание, при котором поражаются самые нижние отделы дыхательной системы и нарушается функция легкого. Именно поэтому основным показателем пневмонии является не кашель и насморк, а одышка, потому что альвео-лярные мешочки при воспалении легких наполняются жидкостью или гноем, что затрудняет газообмен и вентиляцию в легких.

Частое и кряхтящее дыхание ребенка — серьезный повод для обращения к врачу, даже если насморка и кашля при этом у него нет. В норме частота дыхания у детей в спокойном расслабленном состоянии должно быть следующим:

— у новорожденных младше 2 месяцев — до 50 вдохов в минуту;

— у малышей от 2 месяцев и до 1 года — до 40 вдохов в минуту;

— у детей в возрасте 1-3 лет — до 30 вдохов в минуту;

— у дошколят в возрасте 3 -7 лет — до 25 вдохов в минуту;

— у школьников 7 -10 лет — до 20 вдохов в минуту.

При воспалении легких эти показатели намного больше.

Заболеть пневмонией ребенок может в любое время года, а не только зимой. Особенно опасна пневмония для малышей до 5 лет, иммунитет которых еще неокрепший, а организм их еще не умеет справляться с инфекцией.

Пневмония редко бывает самостоятельной болезнью, чаще всего она развивается на фоне бронхита, сильной простуды и заболеваний горла из-за загустевания и плохого отхождения мокроты, препятствующей вентиляции легких. Причиной развития воспаления в легких могут быть вирусы, бактерии и грибки. Встречаются и смешанные воспаления, например, вирусно-бактериальные.

По степени развития болезни пневмония может быть односторонней и двусторонней. Двусторонняя пневмония наиболее опасная, именно она является основной причиной детской смертности. К сожалению, многие родители ошибочно принимают пневмонию ребенка за обычную простуду и ждут, когда вот-вот ему станет лучше. И только тогда, когда ребенок уже становится сосвсем слабым, а его температура не падает даже после приема жаропонижающих средств, вызывают скорую помощь.

Важно: если у ребенка высокая температура, он жалуется на боль в груди при кашле и дыхании, у него одышка, то обязательно надо вызвать врача, чтобы исключить воспаление лёгких. Специфические симптомы, по которым можно заподозрить пневмонию у ребенка, следующие:

— он болеет гриппом или другой вирусной инфекцией уже 3-5 дней, а состояние его не улучшается или после незначительного улучшения температура поднялась снова;

— жаропонижающие средства малоэффективны, они сбивают температура лишь на 30-40 минут ;

— у него частое и шумное дыхание, одышка;

— он часто кашляет, попытки сделать глубокий вдох каждый раз заканчиваются кашлем;

— он слабый, постоянно спит и ничего не хочет кушать;

— кожа у него стала бледной, а губы приобрели синюшный оттенок;

— он жалуется на боль в животе и тошноту.

Для диагностики пневмонии врач прослушивает дыхание ребенка стетоскопом, дает направление на сдачу анализа крови и прохождение рентгента грудной клетки. При пневмонии прослушиваются хрипы влажные и мелкопузырчатые, а при бронхите они сухие и свистящие. В последнее время для точной постановки диагноза «пневмония» терапевты используют результаты анализа крови на С реактивный белок.

По результатам такого исследования можно определить, насколько сильно воспаление в легких. Если уровень С реактивного белка меньше 20 мг/л, то, скорее всего, у ребенка — бронхит, а воспаления в легких нет. Если же этот показатель приближается к 100 мг/л, то надо срочно сделать рентгеновский снимок, чтобы окончательно подтвердить диагноз «пневмония».

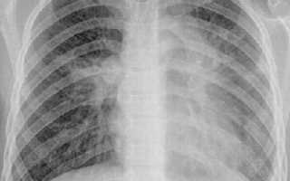
Рентгенограмма при пневмонии у ребенка.

Рентгеновский снимок — обязательный метод исследования при подозрении пневмонии (воспаления легкого).

Лечение пневмонии зависит от типа микроорганизма, который способствовал ее развитию. Вирусная пневмония, которая развивается на фоне ОРВИ, считается более легкой формы. Она не требует длительного лечения и обычно проходит вместе с вирусной инфекцией. Чего нельзя сказать о бактериальной пневмонии. Ее обязательно следует лечить антибиотиками. Они помогают не только бороться с инфекцией, но и снижают температуру. Поэтому в данном случае жаропонижающие средства врач может и не назначить.

Многие родители спрашивают врачей: «А можно ли лечить пневмонию ребенка дома?», так как не желают оставлять его одного в больнице. Биодоступность современных антибиотиков высокая, поэтому при легких формах пневмонии врач может разрешить лечить ребенка и дома, но отказываться от госпитализации, пренебрегая врачебных рекомендаций, при воспалении легких нельзя. Особенно если родители несвоевременно вызвали терапевта и пытались лечить ребенка сами, успев дать ему попробовать 2-3 вида антибиотика. В этом случае понятно, что таблетки ребенку уже не помогут, надо делать инъекции. Начатое на ранней стадии лечение воспаления легких помогает избежать тяжелых осложнений.

Очень распространённая ошибка многих родителей — самостоятельно прекращать давать ребенку антибиотики. Полечились 3- 5 дней, температуры больше нет, и перестают давать лекарства, назначенные врачом. Этого делать ни в коем случае нельзя. Если врач назначил курс антибиотиков на 10 дней, значит, принимать их нужно именно столько времени, и ни днём меньше, даже если ребенок чувствует себя уже здоровым.

Во время болезни ребенок отказывается от еды и не хочет пить. Это нормальное явление, указывающее на то, что организм «экономит» силы, чтобы бороться с недугом. Заставлять ребенка насильно кушать не нужно, а вот поить его водой надо часто и небольшими порциями. Она разжижает слизь в легких и выводит токсины из организма. Вместо воды можно ребенку дать настой шиповника, компот из сухофруктов и ягод, а также свежевыжатые соки, разбавленные водой 1:1.

В период лечения пневмонии не нужно давать ребенку аптечные общеукрепляющие витаминные или иммуномодулирующие препараты. Они только увеличивают нагрузку на печень, которая во время болезни и так страдает. После окончания приема антибиотиков врач может назначить пробиотики, восстанавливающие микрофлору кишечника, сорбенты, чтобы ускорить очищение организма от токсинов и витаминное питание.

В комнате, где лежит больной ребенок, должно быть чисто и свежо. Полезно там поставить увлажнитель воздуха, чтобы мокроты не пересыхали и не застаивались в легких, а ребенку было легче дышать. При правильном лечении пневмонии ребенок быстро восстанавливается. К нему возвращаются прежний аппетит, отличное самочувствие и хорошее настроение.

Видео уроки техники аускультации легких

Рекомендуем посмотреть другие видео ролики по пропедевтике

Предлагаем ознакомиться со звуками аускультации легких:

1. Везикулярное дыхание:

2. Бронхиальное дыхание:

3. Влажные хрипы:

3. Сухие хрипы:

4. Шум трения плевры:

5. Крепитация:

6. Жесткое дыхание:

7. Амфорическое дыхание:

8. Побочные дыхательные шумы:

9. Аускультация легких:

— Вернуться в оглавление раздела «Пульмонология»

Автор: Искандер Милевски

Рекомендуем ознакомиться с тематичными статьями на нашем сайте:

  • Простуда прошла, а кашель остался? Лечение кашля
  • Что делать, если ребенок кашляет? Лечим кашель у ребенка
  • Неврогенный кашель. Диагностика происхождения кашля
  • Как лечить сухой кашель у ребенка? Суприма бронхо и синекод от кашля
  • Как отличить бронхит от обычной простуды? Признаки бронхита
  • Замучил обструктивный бронхит у ребенка? Ингаляция — эффективный способ лечения бронхита
  • Кашель как причина эмфиземы легких. Обтурационная эмфизема с бронхиальным стенозом

Рентгенограмма при пневмонии у ребенкаВоспаление легких у ребенка

Доктор Комаровский о пневмонии у детей

Словосочетание «воспаление легких» очень пугает родителей. При этом совершенно не имеет значения, сколько лет или месяцев чаду, это заболевание среди мам и пап считается одним из самых опасных. Так ли это на самом деле, как распознать пневмонию и чем ее правильно лечить, рассказывает известный детский врач, автор книг и статей о детском здоровье Евгений Комаровский.

Хрипы при пневмонии у детей когда проходят

О заболевании

Пневмония (именно так врачи называют то, что в народе принято именовать воспалением легких) — это очень распространенное заболевание, воспаление тканей легких. Под одним понятием медики подразумевают сразу несколько недугов. Если воспаление не носит инфекционного характера, доктор напишет в карточке «пневмонит». Если поражены альвеолы, диагноз будет звучать иначе – «альвеолит», если поражена слизистая легких – «плеврит».

Хрипы при пневмонии у детей когда проходят

Воспалительный процесс в легочной ткани вызывают грибки, вирусы и бактерии. Бывают смешанные воспаления — вирусно-бактериальные, например.

Недуги, входящие в понятие «пневмония» все медицинские справочники относят к разряду довольно опасных, так как из 450 миллионов человек со всего мира, которые заболевают ими в год, около 7 миллионов умирают из-за неправильной постановки диагноза, неверного или запоздалого лечения, а также от стремительности и тяжести протекания болезни. Среди умерших около 30% – это дети до 3 лет.

Хрипы при пневмонии у детей когда проходят

По месту расположения очага воспаления все пневмонии делятся на:

  • Очаговые;
  • Сегментарные;
  • Долевые;
  • Сливные;
  • Тотальные.

Также воспаление может быть двусторонним или односторонним, если поражено только одно легкое или его часть. Довольно редко пневмония бывает самостоятельным заболеванием, чаще она является осложнением другого заболевания — вирусного или бактериального.

Хрипы при пневмонии у детей когда проходят

Наиболее опасной пневмония считается для детей до 5 лет и пожилых людей, среди таких заболевших последствия непредсказуемы. По статистике, у них самый высокий процент смертности.

Хрипы при пневмонии у детей когда проходят

Евгений Комаровский утверждает, что органы дыхания вообще являются самыми уязвимыми для различных инфекций. Именно через верхние дыхательные пути (нос, ротоглотка, гортань) в организм ребенка и проникает большая часть микробов и вирусов.

Если иммунитет малыша ослаблен, если экологические условия в местности, где он проживает, неблагоприятные, если микроб или вирус очень агрессивен, то воспаление не задерживается только в носу или гортани, а опускается ниже — в бронхи. Такое заболевание называется бронхитом. Если его не удается остановить, инфекцию распространяется еще ниже — в легкие. Возникает пневмония.

Хрипы при пневмонии у детей когда проходят

Однако воздушно-капельный путь инфицирования не является единственным. Если учесть, что легкие кроме газообмена выполняют еще несколько важных функций, то становится понятно, почему иногда недуг появляется в отсутствии вирусной инфекции. Природа возложила на легкие человека миссию увлажнять и согревать вдыхаемый воздух, очищать его от разных вредных примесей (легкие выполняют функцию фильтра), а также аналогичным образом фильтруют циркулирующую кровь, выделяя из нее многие вредные вещества и нейтрализуя их.

Если малыш перенес операцию, сломал ногу, что-то не то скушал и получил сильное пищевое отравление, обжегся, порезался, в кровь в различных концентрациях попадает то или иное количество токсинов, тромбов и т. д. Легкие это терпеливо обезвреживают или выводят наружу с помощью защитного механизма — кашля. Однако, в отличие от бытовых фильтров, которые можно почистить, помыть или выбросить, легкие ни помыть, ни заменить нельзя. И если однажды какая-то часть этого «фильтра» выходит из строя, засоряется, начинается то самое заболевание, которое родители называют воспалением легких.

Хрипы при пневмонии у детей когда проходят

Возбудителями пневмонии могут быть самые разнообразные бактерии и вирусы. Если ребенок заболел, находясь в больнице с другим недугом, то в огромной долей вероятности у него будет бактериальная пневмония, которую еще называют госпитальной или больничной. Это самая тяжелая из пневмоний, так как в условиях больничной стерильности, применения антисептиков и антибиотиков, выживают только самые крепкие и агрессивные микробы, которые уничтожить не так-то просто.

Наиболее часто у детей встречается пневмония, которая возникла в качестве осложнения какой-либо вирусной инфекции (ОРВИ, грипп и т. д.). На такие случаи воспаления легкие приходится около 90% соответствующих детских диагнозов. Это связано даже не с тем, что вирусные инфекции «страшны», а с тем, что они чрезвычайно широко распространены, и некоторые дети болеют ими до 10 раз в год и даже больше.

Хрипы при пневмонии у детей когда проходят

Симптомы

Чтобы понять, как начинает развиваться пневмония, нужно хорошо представлять себе, как вообще работает дыхательная система. Бронхи постоянно выделяют слизь, задача которой – блокировать пылинки, микробов, вирусы и прочие нежелательные объекты, попадающие в органы дыхания. У бронхиальной слизи есть определенные характеристики, такие, как вязкость, например. Если она теряет часть свойств, то вместо того, чтобы бороться со вторжением чужеродных частиц, она сама по себе начинает доставлять немало «хлопот».

К примеру, слишком густая слизь, если ребенок дышит пересушенным воздухом, закупоривает бронхи, мешает нормальной вентиляции легких. Это, в свою очередь, приводит к застойным явлениям в некоторых участках легких — развивается пневмония.

Часто воспаление легких случается тогда, когда организм ребенка стремительно теряет запасы жидкости, густеет бронхиальная слизь. Обезвоживание разной степени может произойти при длительном поносе у ребенка, при многократной рвоте, высоком жаре, лихорадке, при недостаточном количестве потребляемой жидкости, особенно на фоне ранее указанных проблем.

Хрипы при пневмонии у детей когда проходят

Заподозрить у чада пневмонию родители могут по ряду признаков:

  • Кашель стал основным признаком болезни. Остальные, присутствовавшие раньше, постепенно проходят, а кашель только усиливается.
  • Ребенку стало хуже после улучшения. Если болезнь уже отступила, а потом внезапно малыш почувствовал себя опять плохо, это вполне может говорить о развитии осложнения.
  • Ребенок не может глубоко вдохнуть. Каждая попытка сделать это приводит к сильному приступу кашля. Дыхание сопровождается хрипами.
  • Пневмония может проявляться через сильную бледность кожных покровов на фоне перечисленных выше симптомов.
  • У ребенка появилась одышка, а жаропонижающие средства, которые раньше всегда быстро помогали, перестали оказывать действие.

Хрипы при пневмонии у детей когда проходятХрипы при пневмонии у детей когда проходят

Важно не заниматься самодиагностикой, поскольку стопроцентным способом установить наличие воспаления легкий является даже не сам врач, а рентгеновский снимок легких и бактериальный посев мокроты, который даст врачу точное представление о том, какой именно возбудитель стал причиной воспалительного процесса. Анализ крови покажет наличие антител к вирусам, если воспаление вирусное, а обнаруженные в кале клебсиеллы, натолкнут на мысль о том, что пневмония вызвана именно этим опасным возбудителем. На дому же доктор обязательно будет выслушивать и выстукивать область легких маленького пациента, слушать характер хрипов при дыхании и во время кашля.

Хрипы при пневмонии у детей когда проходят

Заразна ли пневмония?

Чем бы ни было вызвано воспаление легких, оно практически во всех случаях является заразным для окружающих. Если это вирусы — они легко передаются другим членам семьи по воздуху, если бактерии — контактным путем, а иногда и воздушно-капельным. Поэтому ребенку с воспалением легких надо выделить отдельную посуду, полотенце, постельное белье.

Хрипы при пневмонии у детей когда проходятХрипы при пневмонии у детей когда проходят

Лечение по Комаровскому

После того, как диагноз установлен, доктор примет решение о том, где ребенок будет лечиться — дома или в больнице. Этот выбор будет зависеть от того, сколько лет ребенку и насколько тяжелая у него пневмония. Всех детей до 2 лет педиатры стараются госпитализировать, поскольку их иммунитет слаб, и процесс лечения уже по этому должен постоянно контролироваться медицинским персоналом.

Хрипы при пневмонии у детей когда проходят

Все случаи обструкции во время пневмонии (плеврит, закупорка бронхов) — основание для госпитализации детей любого возраста, так как это является дополнительным фактором риска, и восстановление при такой пневмонии будет непростым. Если доктор говорит, что у вас неосложненная пневмония, то с большой долей вероятности он разрешит лечить ее в домашних условиях.

Чаще всего пневмонию лечат антибиотиками, при этом совершенно не обязательно, что придется делать много больных и страшных уколов.

Антибиотики, которые смогут быстро и эффективно помочь, врач определит по результатам анализа мокроты на бакпосев.

Две трети случаев воспаления легких, по словам Евгения Комаровского, прекрасно лечатся таблетками или сиропами. Кроме того назначаются отхаркивающие средства, которые помогают бронхам как можно скорее очищаться от накопившейся слизи. На завершающей стадии лечения ребенка показаны физиопроцедуры и массаж. Также малышам, которые проходят реабилитацию, показаны прогулки и прием витаминных комплексов.

Если лечение проходит дома, то важно, чтобы ребенок не находился в жарком помещении, пил достаточное количество жидкости, полезен вибрационный массаж, способствующий отхождению бронхиального секрета.

Хрипы при пневмонии у детей когда проходятХрипы при пневмонии у детей когда проходят

Лечение вирусной пневмонии будет протекать аналогично, за исключением разве что приема антибиотиков.

Профилактика

Если ребенок заболел (ОРВИ, понос, рвота и другие проблемы), нужно обязательно следить за тем, чтобы он потреблял достаточное количество жидкости. Питье должно быть теплым, чтобы жидкость могла быстрее всасываться.

Хрипы при пневмонии у детей когда проходят

Больной малыш должен дышать чистым, влажным воздухом. Для этого нужно проветривать помещение, увлажнять воздух с помощью специального прибора-увлажнителя или с помощью развешенных по квартире мокрых полотенец. Нельзя допускать, чтобы в помещении было жарко.

Наилучшие параметры для сохранения нормального уровня вязкости слизи таковы: температура воздуха 18-20 градусов, относительная влажность — 50-70%.

Хрипы при пневмонии у детей когда проходят

Если ребенок болен, нужно постараться максимально освободить его комнату от всего, что может накапливать пыль — ковры, мягкие игрушки, мягкая мебель. Большое количество вдыхаемых пылинок лишь ускоряет загустевание мокроты и повышает риск развития пневмонии. Влажную уборку надо проводить 1-2 раза в день, моющие средства на основе хлора добавлять категорически запрещено!

Если ребенок кашляет, не нужно давать ему в домашних условиях всевозможные средства от кашля.

Кашель нужен, чтобы вывести излишки отработанной мокроты. Если кашлевый рефлекс остановить на самом пике заболевания противокашлевыми препаратами, то выхода мокроты не будет, и риск, что начнется пневмония, вырастет в разы. Муколитические (отхаркивающие) средства (на растительной основе), задача которых разжижать мокроту, приветствуются, но, по словам Комаровского, при неукоснительном соблюдении всех вышеперечисленных пунктов.

Хрипы при пневмонии у детей когда проходят

При ОРВИ ни в коем случае нельзя принимать антибиотики. Даже если ваш лечащий врач советует начать делать это для профилактики пневмонии. Всех микробов, которые есть в организме человека, даже новейший антибиотик уничтожить не в состоянии, на вирусы же противомикробные средства вообще не действуют. Но доказано, что прием их при гриппе или ОРВИ в 9 раз увеличивает вероятность развития пневмонии!

При насморке, вызванном вирусной инфекцией, не стоит сразу начинать капать сосудосуживающие капли в нос ребенку. Так выше вероятность, что вирусы, минуя нос, прямиком отправятся сразу в легкие и вызовут там воспалительный процесс.

Отличный способ профилактики — вакцинация от пневмококковой инфекции. Именно пневмококк вызывает самые тяжелые формы пневмонии. Ребенку первого года жизни в рамках Календаря прививок вводят вакцину, которая помогает организму выработать антитела к пневмококку. Даже если заражение произойдет, то болезнь будет протекать легче. Вакцину вводят несколько раз. В первые месяцы жизни, в 2 года, в 4 года, в 6 лет и в 12 лет. Отказывать от прививки ни в коем случае не стоит, говорит Евгений Комаровский.

Хрипы при пневмонии у детей когда проходятХрипы при пневмонии у детей когда проходят

Подробнее смотрите в передаче докора Комаровского.

Читайте также:

 

Уход за детьми при пневмонии

Ссылка на основную публикацию
Похожее