Пн-сб: 09:00—19:00; вс: 10:00—17:00
whatsapp telegram vkontakte email

У ребенка пневмония справа как лечить

Воспаление легких (пневмония) представляет собой инфекционно-воспалительный процесс с поражением конечных отделов дыхательных путей, к ним относятся: терминальные и альвеолярные ходы, а также альвеолы.

У детей чаще всего встречается правосторонняя пневмония, что подтверждается статистическими данными. На 1000 детей грудного возраста регистрируется 15-19 случаев болезни, от 1 года до 3 лет – 5-7 случаев, от 3 до 6 лет – 2-3 случая пневмонии, 6-12 лет – 1-2 случая.

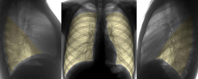
Правосторонняя пневмония на снимке

Особенности течения заболевания

Частые случаи внебольничной правосторонней пневмонии обусловлены провоцирующими факторами и особенностями строения дыхательной системы. Правый бронх шире и короче в отличие от левого, который уже и длиннее, так воспаление из верхних отделов легко распространяется в правые отделы. Детский организм менее крепок, органы и системы недостаточно сформированы.

У ребенка быстро нарастают симптомы поражения легочной ткани при пневмонии, ухудшаются следующие ее физиологические функции:

  • газообмен между атмосферой и кровью;
  • буферная с поддержанием pH;
  • иммунная – выработка иммуноглобулина, муцина, лактоферрина, лизоцима;
  • защитная – за счет движения мерцательного эпителия;
  • терморегуляторная (испарение воды);
  • устранение токсинов.

    Высокая температура у ребенка

При пневмонии своевременное обращение за медицинской помощью снижает риск тяжелых последствий болезни у ребенка, когда необходима срочная госпитализация.

Клинические проявления

Симптоматика пневмонии напрямую зависит от стадии заболевания, распространенности процесса, иммунологического статуса ребенка и вида возбудителя. Пневмония условно подразделяется на типичную, атипичную и вторичную.

Типичная форма пневмонии характеризуется острым началом и нарастанием интоксикационного синдрома. У детей резко повышается температура тела до фебрильных цифр (свыше 38°C), появляется сухой кашель, который впоследствии становится влажным и продуктивным. После ряда кашлевых толчков выделяется гнойная мокрота. Дети жалуются на боли в правом боку грудной клетки при вовлечении в инфекционно-воспалительный процесс пневмонии плевры.

Атипичная форма пневмонии имеет постепенное начало и смазанную клиническую картину. Отмечаются боли в мышцах (миалгия), слабость, недомогание, гипертермия в пределах субфебрильных цифр (37,1-38°C). Выражены головная боль и головокружение. Симптоматика пневмонии схожа с острым респираторным заболеванием.

Вторичная форма пневмонии развивается на фоне аспирации желудочного содержимого, амниотической жидкости, инородных веществ, застоя в легких при длительном постельном режиме, после операции на внутренних органах или иммунодефиците. Симптомы схожи с очаговой пневмонией, превалируют признаки токсикоза с апатией, слабостью и вялостью. Отмечаются лихорадка, учащенное сердцебиение, бледность кожных покровов, снижение или полное отсутствие аппетита.

Причины возникновения

Основная причина пневмонии правого легкого – бактерии, вирусы и грибки. Они проникают в организм путем аспирации после контакта с больным или носителем определенного вида возбудителя.

У детей раннего возраста выделяют ряд предрасполагающих факторов:

Гипоксия плода

  1. Недостаточное поступление кислорода во внутриутробном периоде (гипоксия, асфиксия).
  2. Травмирование в период родов.
  3. Пневмопатии, в том числе и пороки развития легочной ткани и среднедолевой синдром.
  4. Наследственное заболевание – кистозный фиброз (муковисцидоз).
  5. Хронические расстройства питания (гипотрофия, дистрофия, гиповитаминоз).
  6. Незрелость иммунной системы и адаптационных механизмов.

У детей дошкольного и школьного возраста предшествующими факторами пневмонии могут стать:

  1. Самостоятельное лечение ОРВИ, бронхита, фарингита, ларингита и тонзиллита на дому с неправильным подбором тактики терапии.
  2. Хронический очаг инфекции в носоглотке.
  3. Склонность к аллергии и атопии.
  4. Приобретенные пороки сердечной мышцы с перегрузкой малого круга кровообращения.
  5. Иммунодефицит.
  6. Раннее увлечение табакокурением.

Научные исследования выявили связь между здоровьем полости рта и частотой заболеваемости пневмонией: регулярная санация кариозных образований зубов снижает риск заражения вдвое.

Заразно ли заболевание

Пневмония бывает разная и пути заражения у нее отличаются. Дети более подвержены заражению внебольничной пневмонией воздушно-капельным и пероральным путями, когда больной находится в непосредственной близости (кашель, отделение мокроты, чихание). Возбудитель находится в воздухе, вдыхаемом ребенком, а также оседает на предметы быта, игрушки, продукты питания. Пневмония заразна, если ее источниками были патогенные бактерии.

Воздушно-капельный путь

Диагностика

Для постановки диагноза «пневмония», пульмонолог проводит осмотр, аускультацию и перкуссию. Потребуется выполнение обязательных методик:

  • рентгенограмма органов грудной полости в прямой и боковой проекции;
  • клинический анализ крови и общий анализ мочи;
  • микроскопический анализ мокроты с окраской по Граму для установки вида возбудителя;
  • определение газового состава крови;
  • посев мокроты на питательную среду с целью установки устойчивости к антибактериальным средствам.

Рентгенограмма органов грудной клетки

В случае сомнительной клинической картины пневмонии и проведения дифференциальной диагностики могут потребоваться: бронхоскопия, компьютерная томография ОГК, ультразвуковое исследование.

Методы лечения

При среднетяжелом и тяжелом течении, лечение правосторонней пневмонии у детей показано только в стационаре. Для предотвращения болезни необходим комплексный подход с применением нескольких методов:

Оксигенотерапия новорожденному

  1. Прием лекарственных средств.
  2. Проведение оксигенотерапии при обнаружении дыхательной недостаточности и гипоксии.
  3. Физиотерапевтические процедуры.
  4. Правильное и регулярное питание.

Обязательной госпитализации при пневмонии подлежат груднички (до 1 года), дети с хроническими заболеваниями внутренних органов, сахарным диабетом, болезнями почек и печени, онкогематологическими патологиями.

Курс приема препаратов

Лечение пневмонии начинают с назначения этиотропных и симптоматических препаратов. До получения результатов бактериологического посева ребенку назначают антибиотики широкого спектра действия:

Суспензия Аугментин

  1. Группа пенициллинов: Аугментин, Тиментин.
  2. Цефалоспорины: Цефтриаксон, Цефепим.
  3. Макролиды: Азитромицин, Ровамицин.
  4. Фторхинолоны: Левофлоксацин, Гатифлоксацин, Моксифлоксацин.

С целью уменьшения интоксикации при пневмонии показаны щелочное питье, солевые и дезинтоксикационные растворы внутривенно (Трисоль, Реополиглюкин). При влажном кашле назначаются отхаркивающие сиропы, таблетки, растворы: Амброксол, Мукалтин, Ацетилцистеин. Для уменьшения отека, воспаления и рефлекторного спазма бронхиол обязательны антигистаминные средства: Тавегил, Эриус, Супрастин.

Физиотерапия

Физиотерапевтические процедуры при пневмонии проводятся спустя 2-3 дня после начала этиотропного лечения, включают в себя ультрафиолетовое облучение органов грудной полости, дыхательную гимнастику (физические упражнения с поднятием рук, надувание шаров), массаж, лечебная физкультура.

Ингаляции небулайзером

При выраженном приступообразном кашле назначается небулайзер с вдыханием паров антисептического (Декасан), муколитического (Амброксол) или бронхолитического (Атровент) препаратов.

Народная медицина

Редька с медом

Лечить пневмонию методами народной медицины недопустимо. Врачи разрешают народные способы только как второстепенную и вспомогательную терапию.

В домашних условиях применяют отвар с баданом для полоскания горла, редьку с медом для повышения резистентности организма, ингаляции с пихтовым маслом для увлажнения и согрева дыхательных путей.

В период восстановления после пневмонии применяют компресс с подорожником на правую область грудной клетки, настой из почек сосны, коры дуба, лаванды, зверобоя, а также прополис для приема внутрь.

Профилактические меры

Первичная профилактика включает меры предупреждения развития пневмонии:

  • соблюдение здорового образа жизни;
  • правильное и сбалансированное питание в период вынашивания ребенка;
  • рациональное вскармливание;
  • введение прикорма и искусственной смеси;
  • укрепление иммунитета, закаливание.

Вторичная профилактика направлена на своевременное лечение респираторных заболеваний, санацию хронических очагов инфекции (тонзиллит, гайморит, кариес), обращение за медицинской помощью при общем ухудшении состояния ребенка и подозрении на пневмонию.

В клиниках регулярно проводят вакцинопрофилактику против пневмококковой инфекции у детей старше 2 лет.

Возможные последствия

Серьезными осложнениями пневмонии могут быть:

Гангрена легкого

  • абсцедирование и гангрена легочной ткани;
  • воспаление плевральной оболочки с развитием эмпиемы;
  • острая гипоксия с обструкцией;
  • отек легких.

На фоне пневмонии также развиваются эндокардит, менингит, сепсис.

Пневмония относится к инфекционно-воспалительным заболеваниям, которым подвержены все возрастные категории. Пневмония у детей подлежит тщательному мониторингу со стороны педиатра и пульмонолога. Индивидуально подобранное и вовремя начатое лечение снижает риск развития осложнений.

пневмония

Пневмония – это инфекционное воспаление легочной ткани. У деток в силу анатомических особенностей возникает чаще всего именно правосторонняя пневмония.

Способствует этому то, что правый бронх короче и шире левого.

В данной статье рассмотрены причины, симптомы и диагностика заболевания, а также информация о том, какое лечение может назначить доктор.

Причины

Болезнь развивается вследствие проникновения в организм и размножения патогенных микроорганизмов. Чаще всего пневмонию вызывают такие возбудители:

  • Стрептококки.
  • Стафилококки.
  • Пневмококки.
  • Легионелла. Вызывает пневмонию в редких случаях, но является очень опасным возбудителем.
  • Хламидии. Вызывают воспаление легочной ткани у детей подросткового возраста.
  • Микоплазма.
  • Кишечная палочка. Чаще всего вызывает пневмонию у больных сахарным диабетом.
  • Вирусы.
  • Гемофильная палочка.
  • Грибковые возбудители.

Болезнь чаще всего появляется вследствие осложнения респираторной инфекции. Микроорганизмы попадают воздушно-капельным путем и вызывают ОРВИ, ларингит, фарингит, гайморит и т. д. Бактерии атакуют иммунитет малыша, и защитные силы организма снижаются. Микроорганизмы распространяются в легкие и при сниженном иммунитете активно там размножаются.

Факторы, способствующие развитию патологического процесса

Существуют факторы, которые способствуют возникновению пневмонии у ребенка:

диагностика пневмонии

  • низкий вес;
  • частые хронические заболевания;
  • врожденный или приобретенный низкий иммунитет;
  • несвоевременное или нерациональное лечение инфекционных болезней;
  • патологии дыхательных путей;
  • плохое питание и недостаток витаминов;
  • анемия;
  • рахит;
  • переохлаждения организма;
  • астма;
  • аллергии.

Симптомы

Патологический процесс в правом легком чаще всего распространяется на три доли и плевру. Болезнь имеет такие стадии:

  • Прилив. Это стадия, на которой патологический процесс начинает развиваться, и протекает она остро.
  • Уплотнение. В этот период симптоматические проявления болезни нарастают.
  • Разрешение. Наступает после курса лечения, и в редких случаях выздоровление бывает самостоятельным.

Для пневмонии характерны такие признаки:

температура

  • Резкое повышение температуры тела, которая плохо сбивается.
  • Сначала сильный сухой кашель, а со временем начинается отхождение мокроты.
  • Насморк.
  • Ребенка то знобит, то морозит.
  • Малыш начинает чаще дышать, и количество ударов сердца тоже увеличивается.
  • Мокрота с прожилками крови.
  • Болевые ощущения при глубоком вдохе с правой стороны грудной клетки.
  • Общая слабость.
  • Бледность кожных покровов.
  • Потеря аппетита.
  • У грудничков возникают частые срыгивания или рвота.
  • Одышка.
  • Синюшность носогубного треугольника.
  • Ребенок спит на здоровом боку.

Если у ребенка возникла подобная симптоматика, следует незамедлительно обратиться за помощью к доктору.

Диагностика

В первую очередь доктор всегда собирает анамнез и по описанным симптомам предполагает диагноз. Следом за опросом врач делает осмотр и проводит аускультацию легких для обнаружения характерных мелкопузырчатых хрипов, а также шума трения плевры.

Для более точной постановки диагноза назначаются лабораторные исследования:

  • Общий анализ крови. При пневмонии в нем обнаруживается снижение гемоглобина, тромбоцитов и лимфоцитов, а также увеличение лейкоцитов и ускорение скорости оседания эритроцитов.
  • Биохимический анализ крови.
  • Бактериологический посев мокроты для обнаружения микроорганизмов и их типа.
  • Бакпосев крови.

рентген легких

Рентген – пневмония

Также проводят дополнительные исследования:

  • Рентгенография грудной клетки. На снимке при пневмонии обнаруживается гомогенное затемнение воспаленных участков.
  • Фибробронхоскопия. При этом исследовании возможен забор содержимого из легких.
  • УЗИ плевральной полости.
  • ЭХКГ.
  • КТ и МРТ.

Лечение

После проведения диагностических мероприятий доктор назначает лечение.

Нельзя самостоятельно ставить диагноз и давать ребенку препараты без рекомендаций доктора.

Терапия при пневмонии в основном медикаментозная, и при ней обязательно назначаются антибиотики для борьбы с возбудителем. Вследствие того, что результаты исследования на микрофлору и чувствительность к антибиотикам становятся известны после того, как необходимо назначать лечение, то применяют антибактериальные препараты широкого спектра действия:

амоксиклав

  • Амоксиклав;
  • Ровамицин;
  • Азитромицин;
  • Цефтриаксон;
  • Левофлоксацин.

Эффект от антибиотикотерапии должен наступить не позже, чем через 72 часа.

Выражается он в снижении температуры тела, уменьшении интоксикации организма и снижении признаков дыхательной недостаточности.

В этом случае продолжают назначенный курс лечения. Если назначенный препарат не помогает, назначают другой.

Повышение дозы препарата для достижения лучшего результата в лечении ребенка недопустимо.

Если пневмония вызвана вирусами, назначаются противовирусные средства, но они приносят хороший эффект в первые 48 часов после заражения.

Воспаление легких, вызванное бластомикозом, гистоплазмозом и другими грибками, лечат противогрибковыми препаратами.

При легкой степени пневмонии лекарства назначают в таблетках. Если же у ребенка сильное воспаление, наблюдается одышка и учащение сердцебиения, то его кладут в стационар и вводят препараты внутримышечно или внутривенно. В самых тяжелых случаях направляют в реанимацию и проводят искусственную вентиляцию легких.

препарат бромгексин

Бромгексин

Для снижения симптоматики назначают такие препараты:

  • Бронхолитики для улучшения отхождения мокроты (Мукалтин, Бромгексин);
  • Средства, улучшающие вентиляцию легких (Эуфиллин);
  • Антигистаминные препараты (Супрастин, Тавегил);
  • Иммуномодуляторы для повышения защитных сил организма (Цыгапан, Эргоферон);
  • Витамины;
  • При высокой температуре назначают противовоспалительные и жаропонижающие препараты (Панадол, Парацетамол).

Дозировка препаратов назначается врачом!

тавегил таблетки

Тавегил

Курс медикаментозного лечения длится 14-21 день в зависимости от степени поражения легких и тяжести протекания болезни.

Как дополнение к лечению назначают физиотерапевтические процедуры:

  • Ультрафиолетовое облучение грудной клетки;
  • Дыхательную гимнастику, которая поможет улучшить вентиляцию нижней доли легкого;
  • Массаж помогает улучшить отхождение мокроты;
  • ЛФК. Упражнения лечебной физкультуры улучшают отхождение мокроты и общее состояние организма.
  • Электрофорез с антибиотиками и муколитиками.

При наличии высокой температуры физиотерапевтические методы противопоказаны.

Все процедуры должны проводиться только под наблюдением врача.

При сильном кашле доктор назначает распыление антисептического или муколитического лекарства в верхние дыхательные пути с помощью небулайзера. При этом используют такие лекарства: Лазолван, Декасан, Диоксидин.

лазолван

Препарат Лазолван

Кроме терапии больным пневмонией необходимо придерживаться таких рекомендаций:

  • Соблюдение постельного режима;
  • Обильное питье;
  • Усиленное витаминизированное питание;
  • Соблюдение правил личной гигиены.

Обязательно госпитализируют таких детей:

  • Грудничков первых двух месяцев жизни.
  • Малышей до трех лет при наличии воспаления целой доли легкого.
  • Деток старшего возраста с несколькими инфильтратами в разных долях.
  • При пороках развития.
  • Детей с иммунодефицитом и хроническими заболеваниями.
  • При тяжелом течении пневмонии или возникновении осложнений.
  • Госпитализируют в обязательном порядке, если амбулаторное лечение в течение трех суток не дало результата и симптоматика не улучшилась.

Пневмония – довольно опасное заболевание для деток. Поэтому важно вовремя обратить внимание на симптоматику и обратиться к доктору для постановки точного диагноза и назначения адекватного лечения.

Видео на тему

Пневмония характеризуется развитием инфекционно-воспалительного процесса в органах дыхания. Самой распространенной формой является правосторонняя. По результатам медицинских исследований данная патология устанавливается в 60% случаях пневмонии у детей. Тяжесть течения патологии и дальнейший прогноз во многом зависят от своевременного обращения к специалисту и лечения. Во многих случаях требуется госпитализация в медицинское учреждение.

Что такое пневмония и как она развивается?

Пневмония у ребёнка

Пневмония у ребёнка

Правосторонняя пневмония у ребенка – это инфекционное воспаление, протекающее чаще в острой стадии. Патологический процесс при этом локализуется в верхней, нижней или средней доли правого легкого. У детей трахея и крупные бронхи значительно короче, чем у взрослых, а мелкие бронхи узкие. С правой стороны главный бронх короче и шире левого, в результате чего воспаление распространяется в структуры быстрее. Именно по этой причине заболевание чаще диагностируется в детском возрасте. Взрослые болеют пневмонией реже.

Пневмонию, в зависимости от характера течения разделяют на четыре категории, по которым определяется тактика лечения пациентов:

  1. Первая категория.
    Терапия осуществляется в амбулаторных условиях, госпитализация не требуется. Характеризуется легким течением, отсутствием дыхательной недостаточности. Воспаление локализуется только в одной доли легкого.
  2. Вторая категория.
    Отличается средней степенью тяжести. У пациентов наблюдается незначительная лихорадка, но так же отсутствует нарушение дыхания. Курс лечения проходит амбулаторно. Назначаются отхаркивающие, жаропонижающие и противовоспалительные лекарственные препараты.
  3. Третья категория.
    Для данной категории характерно тяжелое течение, возникновение лихорадки. В случаях наличия сопутствующих неврологических патологий возможно появление судорог. У детей отмечается дыхательная недостаточность. При диагностировании третьей группы пневмонии требуется срочная госпитализация в инфекционное соматическое отделение.
  4. Четвертая категория.
    Проявляется тяжелым течением, при котором наблюдаются сильная лихорадка, потеря сознания, бредовое состояние, фебрильные судороги и дыхательная недостаточность. Детей с четвертой клинической группой пневмонии доставляют в реанимационное отделение и проводят интенсивную терапию.

Курс и продолжительность лечения напрямую зависят от клинической группы. При своевременном выявлении заболевания риск развития серьезных последствий снижается. Поэтому если ваш ребенок заболел, важно незамедлительно обратиться к педиатру https://www.zdravitsa.ru/services/detyam/pediatr.

Причины пневмонии

Причины пневмонии

Причины пневмонии

В большинстве случаев установления правосторонней пневмонии причиной развития становятся вирусы и бактерии патогенного вида. Они проникают в организм ребенка в результате контакта с носителем инфекции. Чаще всего болеют дети, посещающие дошкольные учреждения.

Пневмония правого легкого развивается в результате размножения стрептококка. Спровоцировать возникновение заболеваний верхних дыхательных путей также могут пневмококки. Это специфические бактерии  коккового генеза, которые становятся причиной ларингита, тонзиллита и гайморита.

Учеными был выделен ряд факторов, которые способствуют возникновению пневмонии у ребенка. К ним относятся:

  1. Недоношенность.
  2. Недостаточный вес.
  3. Заболевания дыхательных путей хронической формы
  4. Врождённые и приобретённые иммунодефицитные состояния.
  5. Недостаток витаминов и минеральных веществ в организме ребенка.
  6. Пороки развития сердца попадание жидкости околоплодных вод рвотных масс легкие.
  7. Наличие хронических инфекций.

Пневмония у детей любого возраста также может возникать на фоне респираторных инфекций. Это обуславливается тем, что вирусы негативно воздействует на иммунитет ребенка. В результате снижения защитных сил организма замедляется скорость иммунного ответа на проникновение инфекции. Это дает возможность вирусам активно размножаться в легких и других органах дыхания.

Симптомы правосторонней пневмонии

Симптомы правосторонней пневмонии

Симптомы правосторонней пневмонии

При правосторонней пневмонии патологический процесс распространяется на все доли легкого и прилегающей к нему плевре. Заболевание протекает в 3 стадии:

  1. Стадия прилива. Это начальный этап развития патологии.
  2. Стадия уплотнения, при которой симптомы становятся более выраженным.
  3. Стадия разрешения. В исключительных случаях наступает самостоятельно без применения лекарственных препаратов.

Продолжительность приема медикаментов зависит от стадии и тяжести  лечение патологии.

Стадия прилива всегда начинается остро и проявляется следующими симптомами:

  1. Повышение температуры тела точка Чаще всего она поднимается до 40 градусов.
  2. Приступы кашля. Возникают в вечернее и ночное время.
  3. Затрудненность дыхания. Спровоцировано отеком слизистой оболочки дыхательных путей.
  4. Одышка. Дыхание становится тяжелым и учащённым.
  5. Общее недомогание. Развивается на фоне интоксикации продуктами жизнедеятельности вирусов.

При прослушивании звуков в легких при помощи фонендоскопа на начальной стадии развития заболевания устанавливается ослабленное дыхание. В редких случаях возникают крепитация и мелкопузырчатые хрипы. Данная стадия не требует госпитализации ребенка в медицинское учреждение. Лечение проходит в амбулаторных условиях при помощи антибиотиков, противовоспалительных и противовирусных средств.

У детей стадия уплотнения характеризуется следующими симптомами:

  1. Усиление кашля. Приступы возникают так же и в дневное время.
  2. Отхождение мокроты, в которой присутствует гной и слизь.
  3. Болевыми ощущениями в правой половине грудной клетки, усиливающиеся при вдохе.
  4. Одышка.
  5. Учащенное сердцебиение точка интоксикация, при которой возникают головные боли тошнота, рвота, озноб.

Во время прослушивания легких отмечаются мелкопузырчатые хрипы, а также шум трения плевры в случаях, когда патологический процесс распространяется на соседние ткани.

При стадии разрешения правосторонней пневмонии клинические признаки уменьшаются, что характеризуется снижением температуры и улучшением общего самочувствия ребенка. Во время прослушивания легких наблюдается хрипы и крепитация, что является свидетельством отхождение мокроты из легких. Данные стадия в редких случаях наступает самостоятельно и только при легкой форме патологии.

Особенности пневмонии у детей до года

Особенности пневмонии у детей до года

Особенности пневмонии у детей до года

У детей до года особенно важно установить патологию в домашних условиях. Это дает возможность избежать возникновения серьезных последствий и летального исхода.

Организм грудных детей чаще всего не способен самостоятельно справиться с инфекциями, провоцирующим возникновения пневмонии и других заболеваний дыхательных путей. Заболевание возникает по причине недоразвитости органов. Бактерии усиленно размножаются в правой доле и перемещаются в левую по лимфатическим сосудам и с кровяным током. К признакам правосторонней пневмонии у детей до года относятся:

  1. Температура более 38 градусов. Данные показатели могут сохраняться больше 3 дней. При этом лекарственные препараты не приносят нужного результата.
  2. Усиленное потоотделение. Чаще всего отмечается в ночное время.
  3. Общая слабость усталость.
  4. Учащение дыхания без видимых причин точка

Поводом для беспокойства родителей должна стать большая частотность дыхания, которая составляет более 60 ударов в минуту. Зачастую это говорит о развитии воспаления легких или внебольничной формой пневмонии, которая сопровождается тахипноэ. В этом случае необходимо немедленное обращение к специалистам.

При развитии правосторонней пневмонии ребенок спит исключительно в одном положении, так как при этом он не испытывает боли в грудной клетке.

Промежутки между ребрами у детей становятся впалыми и мягкими. Кроме этого мышечная ткань грудной клетки находится в тонусе.

Дети до 1 года больше всех подвержены развитию пневмонии. Это обусловлено их малой подвижностью, В результате мокрота из легких во время кашля не отходит, образуются застойные процессы. С течением временем появляется гной, воспаление распространяется на левую сторону. Именно по этой причине родителям необходимо своевременно обращаться к врачу при возникновении простудных или инфекционных заболеваний.

Методы диагностики

Методы диагностики

Методы диагностики

Для постановки диагноза детский пульмонолог проводит внешний осмотр, изучает анамнез. Также назначаются следующие методы диагностики:

  1. Рентгенография грудной клетки. Назначается для установления локализации очага воспаления.
  2. Общий анализ крови.
  3. Микроскопия мокроты. Целью лабораторного исследования является обнаружение микроорганизмов и установление их типа.
  4. Бактериологический анализ. Для определения устойчивости к лекарственным препаратам.

При необходимости врач может назначить ультразвуковое исследование, компьютерную томографию или бронхоскопию. Схема лечения правосторонней пневмонии и необходимость госпитализации определяются по результатам лабораторных исследований и других методов диагностики. В зависимости от данных бактериологического анализа мокроты назначается антибиотик.

Лечение

Лечение пневмонии

Лечение пневмонии

Строение бронхиального древа у детей разного возраста обуславливает высокую частотность рецидивов. Для того чтобы лечение пневмонии было успешным, при назначении лекарственных препаратов и физиотерапевтических процедур врач опирается на следующие критерии:

  • соотношение лейкоцитов в крови;
  • тип бактерии, которая стала причиной развития заболевания;
  • наличие осложнений;
  • частота дыхания;
  • возможность вентиляции паренхимы.

Целью терапии является не только снятие симптомов, но и купирование воспалительного процесса, а также предотвращение рецидива. В случаях, когда устанавливается высокая частотность сердечных сокращений, ребенка направляют в стационар. В некоторых случаях для восстановления дыхания требуется вентилирование легких. При этом ребенка в срочном порядке направляет в реанимационное отделение.

Медикаментозная терапия

Зачастую на момент назначения лекарственных средств результатов бактериологического исследования нет. Поэтому назначаются антибиотики широкого спектра действия:

  1. Препараты пенициллиновой группы например «Амоксиклав».
  2. Макролиды. К ним относятся «Ровамицин» и «Азитромицин».
  3. Цефалоспорины такие как «Цефепим», «Цефтриаксогн».
  4. Фторхинолоны, например, «Левофлоксацин».

Лечение пневмонии у ребенка легкой и средней степени осуществляется при помощи антибиотиков в виде таблеток. В случае установления тяжелого течения развития заболевания назначается внутримышечное или внутривенное введение. Такой способ помогает быстрее доставить активные вещества в очаг воспалительного процесса. Благодаря этому врачам удается купировать ярко выраженные симптомы, такие как повышенная температура в кратчайшие сроки.

Эффективность лекарственных средств оценивается через 2 дня после начала их приема. Антибиотик меняют, если температура у ребенка не снижается, а другие симптомы не ослабевает.

С целью уменьшения проявление интоксикации показано обильное питье. Врачи рекомендуют щелочные минеральные воды без содержания газа. При тяжелом течении патологии назначаются солевые растворы.

В случаях установления ярко выраженой отдышки ребенка направляют в реанимационное отделение для прохождения курса интенсивной терапии.

Правосторонняя пневмония легких сопровождает не только затруднённым дыханием, но и приступами кашля. Для улучшения отхождения скопившейся мокроты врач назначает следующие препараты:

  1. Бронхолитики. «Мукалтин», «Бромгексин».
  2. Бронхорасширяющие средства. «Атровент», «Эуфиллин».
  3. Антигистаминные препараты. «Тавегил», «Цетрин» или «Супрастин».

Проведение бронхоскопии целью искусственного отсасывания слизи из легкого и бронхов показано тяжёлых случаях, когда клинические признаки ярко выражены и наблюдается ухудшение состояние малыша.

Для того чтобы повысить защитные силы организма, необходим прием иммуномодуляторов и витаминных комплексов.

В некоторых случаях в плевральной области могут образовываться спайки. Для улучшения их рассасывания и предотвращения их формирования назначается энзимотерапия.

Продолжительность медикаментозной терапии определяется тяжестью заболевания и наличия сопутствующих патологий. Чаще всего курс лечения составляет от 14 до 21 дней. При легкой и средней степени развитие пневмонии лечение проходит в амбулаторных условиях под контролем лечащего врача. В случаях тяжелого состояния ребенка терапия проводится в стационарных условиях.

Физиотерапевтические процедуры

В случаях, когда установлена правосторонняя пневмония, лечение должно осуществляться комплексно. Вместе с приемом лекарственных средств назначается комплекс физиотерапевтических процедур. Основными методами терапевтического воздействия являются:

  1. Ул?

Предыдущая статья

Пневмония у детей причины симптомы лечение

Следующая статья

Капли при химический ожог глаза лечение

Связанные материалы

  • Пневмония Крупозная пневмония осмотр пальпация перкуссия By Игнатова Пелагея 4 года ago
  • Пневмония Диагноз пневмония а симптомов нет By Водоватов Владилен 4 года ago

Крупозная пневмония осмотр пальпация перкуссия thumbnail

Ссылка на основную публикацию
Похожее