Пн-сб: 09:00—19:00; вс: 10:00—17:00
whatsapp telegram vkontakte email

Признаки пневмонии на снимке кто

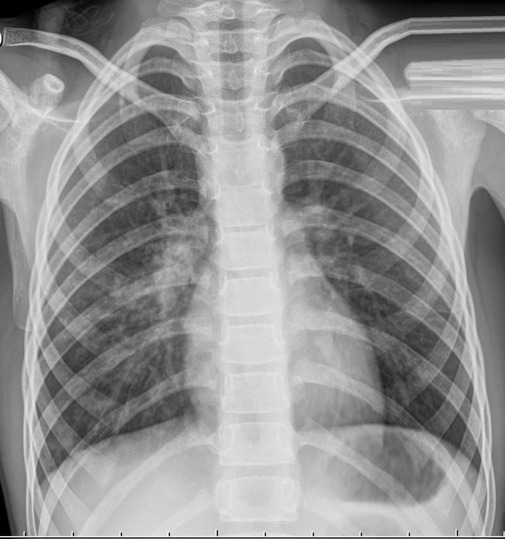
Рентгенография грудной клетки – один из наиболее информативных методов диагностики заболеваний дыхательной системы, включая пневмонию. Он позволяет не только выявить патологический процесс, определить его локализацию и особенности, но и оценить эффективность проводимого лечения. Как же выглядят рентгенологические признаки пневмонии на снимках, и как проводится рентгенография при данной патологии?

Фото1

В каких целях проводят рентгенографию

Пневмония представляет собой воспалительное заболевание, которое вызывают патогенные микроорганизмы – вирусы, бактерии, грибки. Симптомы включают повышение температуры до 38-39 градусов, кашель, одышку, хрипы в грудной клетке, ухудшение общего самочувствия. Сложность диагностики пневмонии заключается в том, что вышеперечисленные признаки характерны не только для воспаления легких, но и для других заболеваний – острого бронхита, плеврита, онкологических процессов и т.д.

Рентгеновское исследование основывается на сканировании внутренних органов с помощью специального аппарата, который излучает электромагнитные волны определенной длины. Проходя сквозь ткани человеческого тела, они оставляют на поверхности пленки следы, из которых формируется изображение соответствующего органа. По ней можно определить патологические изменения и составить полную картину разных заболеваний, в том числе воспалительных процессов в респираторных органах.

В число показаний к проведению рентгена грудной клетки входит кашель с обильным отделением мокроты, сильная лихорадка (38-39 градусов), озноб, боли в груди и другие признаки, которые могут свидетельствовать о патологических процессах в органах дыхательной системы.

ВАЖНО! Постановка диагноза при пневмонии должна основываться не только на рентгеновских снимках, но и на результатах выслушивания грудной клетки, анализов крови и мокроты и других методах обследования.

Существует два основных способа проведения процедуры – обычный (пленочный) рентген и цифровой, который позволяет получить более четкие и информативные снимки, а также снижает рентген-нагрузку на организм. Выбор методики зависит от оснащения конкретного медицинского учреждения – аппараты для цифровой диагностики есть далеко не во всех больницах и поликлиниках.

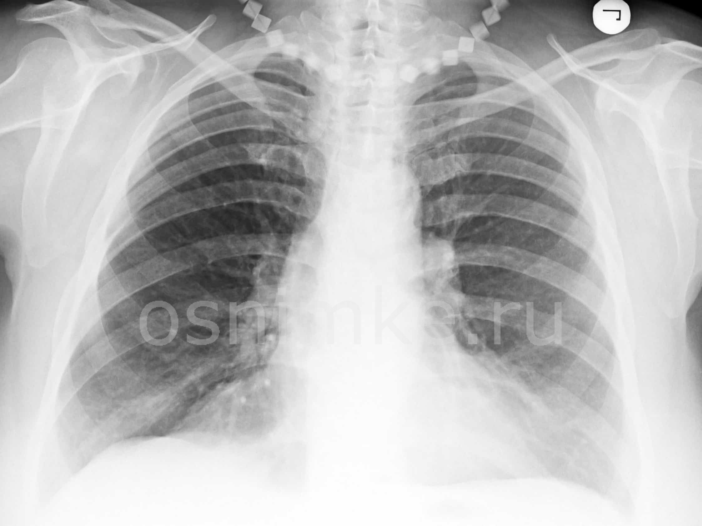
Чем отличается от флюорографии

Рентгеновское и флюорографическое исследование имеют один и тот же принцип, но при диагностике пневмонии предпочтение отдается рентгену.

Фото2

Флюорография позволяет выявить изменения в тканях легких на ранних стадиях, но не дает достаточно четкой рентгенологической картины для постановки точного диагноза.

Вместе с тем, коэффициент облучения при проведении процедуры гораздо меньше, чем при рентгеновском исследовании, поэтому флюорографию делают в профилактических целях, а рентген – непосредственно для диагностики патологических процессов при наличии соответствующих симптомов.

Может ли не показать воспаление легких

Пневмония имеет множество форм клинического течения, а очаги воспаления могут располагаться в любом сегменте легких, и в некоторых случаях определить заболевание по рентгенограмме бывает непросто, особенно если поражен небольшой участок органа. Если после проведения исследования у врача остаются сомнения, больному назначаются дополнительные диагностические процедуры – как правило, КТ или МРТ.

СПРАВКА! Труднее всего выявить пневмонию у детей, страдающих от иммунодефицитных состояний, поэтому в таких случаях ребенка лучше сразу направлять на КТ или МРТ.

Как выглядит недуг на снимке

После проведения рентгенографии снимки должен изучить специалист, и на основе полученных данных и результатов других исследований сделать соответствующие выводы и поставить диагноз. В норме легкие и бронхи человека выглядят следующим образом:

  • легочные доли имеют одинаковый, равномерный черный оттенок;
  • в районе сердца наблюдается белый просвет;
  • ребра и ключицы серые, с привычными очертаниями;
  • купола диафрагмы белого цвета;
  • позвоночный столб расположен в центре.

Признаки пневмонии на рентгеновском снимке во многом зависят от формы заболевания и его стадии, а также от локализации патологического процесса. Если исследование показало признаки пневмонии, необходимо как можно скорее приступить к лечению – запущенный патологический процесс опасен не только для здоровья, но и для жизни человека.

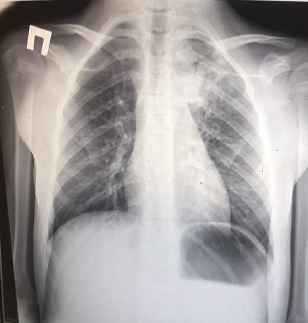
Основные признаки, описание

Первый признак пневмонии на рентгеновском снимке – появление очагов затемнения с неровными контурами в разных частях легкого, которые могут иметь разный размер, от 3-4-х до 12 мм.

Фото3

Тени различают по внешнему виду (круглые, овальные кольцевидные) и интенсивности окраски – чем темнее пятно, тем сильнее выражен патологический процесс.

При поражении лимфатических узлов и нарушении кровоснабжения органа могут наблюдаться изменения корней легких, а если болезнь затронула плевру – нарушение в рисунке куполов диафрагмы. В остальном проявления пневмонии зависят от стадии, формы и клинических особенностей заболевания:

  1. Очаговая форма. На рентгене отображаются небольшие (1-1,5 см) тени со слабой или умеренной интенсивностью окраски, неоднородной структурой и нечеткими границами. Очаги поражения могут быть единичными или множественными, а в некоторых случаях они сливаются в одно большое пятно. Корни легких расширены, причем нарушения нормального рисунка органа могут сохраняться в течение нескольких дней после выздоровления.
  2. Крупозная пневмония. Наблюдаются изменения нормального легочного рисунка, жидкость в полости плевры, признаки инфильтрации одной из долей легкого, расширение корней. По мере развития воспалительного процесса выраженность изменений и интенсивность окраски затемнений усиливается.
  3. Интерстициальная форма. На снимке заметно уплотнение корней легких и другие изменения, которые формируют выраженный рисунок, напоминающий ветви дерева.
  4. Абсцедирующая пневмония. Проявляется обширным затемнением пораженной области, признаками утолщения плевры и наличием полостей разного размера, наполненных жидкостью.
  5. Аспирационная форма. Рентген характеризуется треугольными пятнами с однородной структурой, светлыми очагами и приподнятой диафрагмой.

ВАЖНО! Сложнее всего поддается диагностике очаговая пневмония – на первых стадиях она проявляется небольшими очагами инфильтрации, которые не всегда заметны на рентгене.

Стадии заболевания

Воспалительный процесс при пневмонии протекает в несколько этапов, причем каждый из них характеризуется определенными изменениями на рентгеновских снимках.

Фото4

  1. Стадия прилива. Первая стадия болезни продолжается от 12 до 72 часов и проявляется усилением кровообращения в легких, ухудшением их функций и образованием жидкости в альвеолах. На снимках наблюдается четкий рисунок органа, который напоминает решетку, размытость крайних точек и увеличение корней.
  2. Стадия опеченения. Ткани легких уплотняются, и становится похожей на ткани печени. Рисунок легких на данной стадии выражен не так интенсивно, на нем формируются темные пятна со светлыми полосами, корни органа расширены, причем особенно это заметно на пораженной стороне. По мере развития патологического процесса очаги воспаления затемняются, а наличие жидкости хорошо заметно на снимках.
  3. Стадия разрешения. Начало регенерации тканей легких: снижение интенсивности рисунка органа и окраски затемнений, исчезновение крупных элементов в месте поражения и признаков наличия жидкости.

СПРАВКА! Изменения в легочном рисунке могут присутствовать на протяжении нескольких недель после выздоровления.

Как часто можно проходить рентгенодиагностику

В среднем рентгенологическое исследование рекомендуется проходить не более 1-2-х раз в год, но при пневмонии процедура проводится чаще, так как риск развития осложнений превышает опасность от радиационного облучения. Как правило, рентген выполняется не менее 3-х раз – при постановке диагноза «пневмония», через 3-5 дней после начала терапии для контроля ее эффективности, а также после исчезновения клинических симптомов. Повторные снимки после выздоровления больного надо делать для предупреждения осложнений и последствий заболевания – абсцессы легких, разрастание фиброзной ткани и т.д.

Читайте также:

 

Что за болезнь пневмония у новорожденного

Противопоказания

Относительными противопоказаниями к проведению процедуры являются беременность (особенно первый триместр) и тяжелое состояние больного. Однако при наличии характерных симптомов процедура рекомендована всем без исключения, в том числе будущим мамам – для уменьшения негативного воздействия на плод живот беременной закрывают специальным фартуком, который не пропускает рентгеновские лучи. Точно определить пневмонию без рентгеновского снимка практически невозможно – из-за отсутствия специфических симптомов слишком велика вероятность ошибки и неправильного лечения.

Полезное видео

Ознакомьтесь подробно о рентгенографии при пневмонии на видео ниже:

Пневмония – опасное заболевание, которое при отсутствии соответствующей терапии может привести к серьезным последствиям. Единственным способом выявить патологические изменения в легких является рентген, поэтому не стоит пренебрегать данной процедурой – своевременное исследование поможет предотвратить угрозу не только для здоровья, но и для жизни больного.

Оцените статью:

Загрузка…

Рентгенограмма грудной клетки до сих пор остаётся «золотым стандартом» диагностики большинства патологий дыхательной системы.

Пневмония не является исключением, признаки патологии несложно обнаружить на снимке. Рентген важен для постановки точного диагноза, а также играет ключевую роль в дифференциальном исследовании. Важно иметь общее представление как выглядит пневмония у взрослых и детей.

Рентген снимок атипичной пневмонии

Атипичная пневмония — собирательный термин, включающий инфекционно-воспалительные поражения тканей лёгких. Причинами являются нехарактерные возбудители — микоплазма, хламидия, легионелла, вирусы. Воспаление лёгких протекает с повышением температуры, одышкой, общим недомоганием.

Как выглядит пневмония на снимке

Диагностировать патологический процесс можно при помощи рентгена. Так, для микоплазменной формы характерна неоднородная инфильтрация лёгочной ткани, она может определяться слабо или быть среднеинтенсивной.

При легионеллезной, на снимке видно уплотнения (инфильтраты) округлой формы, локализующиеся на поверхности одной доли лёгкого. В ряде случаев наблюдается слияние инфильтратов.

Читайте также:

 

Пневмония из за аденоидов у детей

У 25% пациентов одновременно с пневмонией определяется плеврит, с незначительным скоплением секрета в плевральной полости.

Правосторонняя бронхо- пневмония

Правосторонняя бронхо- пневмония

Практически невозможно отличить пневмонию Legionella от других, основываясь на таком методе обследования. Присутствие легионеллы или хламидии подтверждается серологическим анализом крови.

Отдельное внимание стоит уделить воспалению неинфекционной этиологии. Одна из таких форм — инфаркт-пневмония, развивающаяся на фоне тромба, попавшего из лёгочной артерии в лёгкое. На рентгеновском изображении выступает как очаговое поражение с относительно чётким контуром.

Другой тип неинфекционного воспаления лёгочной ткани — аспирационный. Причиной выступает содержимое пищеварительного тракта, попавшее в дыхательные пути. Этот тип патологии характеризуется многообразием симптомов, которые имитируют различные заболевания лёгких.

Как правило, на снимке однородный очаг, контуры относительно чёткие. С целью контроля лечения аспирационной пневмонии рекомендуется проходить повторный рентген.

Как выглядит заболевание на рентгеновском снимке

Признаки воспаления лёгких на снимке называют «затемнениями», отображаются они белым цветом, поскольку само изображение является негативом.

Пятна и рентген-признаки:

  • До 3 мм — мелкоочаговые.
  • До 7 мм — среднеочаговые.
  • До 12 мм — крупноочаговые.
  • От 12 мм и более — фокусные.

Пневмония на снимке, в частности затемнения, характеризуются следующим образом:

  • Распространённые. Визуализируют в пределах одного сегмента.
  • Субтотальные. Затемнение большей части поля органа или нескольких сегментов.
  • Тотальные. Патологический процесс охватывает всю область лёгочной ткани. Сильная пневмония слева

Сильная пневмония слева

Дифференциация пневмонии от других патологий лёгких

Важным этапом постановки диагноза остаётся отличие её от других заболеваний лёгких, коронавируса. Так, при бронхите будет отсутствовать затемнение на снимке, вместо этого — усиление лёгочного рисунка.

Усиление лёгочного рисунка

усиление лёгочного рисунка

В случае присутствия инородного тела, наблюдается затемнение с чёткими краями, локализующееся в нижней доле лёгкого. Спутать с воспалением типичного характера сложно.

При плеврите, на снимке скопление экссудата в поражённой области. Плеврит выступает в качестве осложнения недолеченной пневмонии.

Плеврит

При пневмотораксе присутствует характерный уровень жидкости. На снимке отображается как просветление, лёгочный рисунок не просматривается.

Пневмоторакс

Рентгеновский снимок является основным обследованием, а в случае необходимости назначается компьютерная томография.

Пневмония на детских рентген-снимках

Пневмония на рентгенограмме у пациентов детского возраста не имеет выраженных отличий от взрослых, патология также характеризуется очагами просветления и затемнения. У детей в воспалительный процесс вовлекаются нижние отделы лёгких.

Рентгенография показывает следующее:

  • очаговые затемнения диаметром 1-2 мм;
  • увеличение внутригрудных лимфоузлов;
  • деформация и усиление лёгочно-сосудистого рисунка;
  • повышенная плотность затемнения (запущенная патология);
  • в области патологического очага изменяется структура и размер лёгочного корня.

Как выглядит пневмония на снимке

Хоть общая картина детского рентгена не различается от взрослого, некоторая разница имеется. Первое — повышенная реактивность функций иммунной системы. Поэтому даже незначительный инфильтрат способен спровоцировать воспалительную реакцию на обеих долях лёгкого.

При постановке диагноза ребёнку можно ошибиться, что связано с небольшим объёмом лёгочной ткани и повышенным присутствием лёгочного рисунка.

Можно ли не проводить рентгенографию при воспалении лёгких? Действительно, диагностика при подозрении на пневмонию не является обязательным исследованием. Но отказ от рентгенограммы не даст врачу установить диагноз, а следовательно — назначить адекватное лечение. Альтернативными методами диагностики являются КТ и МРТ.

Рентгенография при COVID-19. Опыт ГКБ №40 ДЗМ (Коммунарка)(видео)

Часто пневмония и острый бронхит проявляются одинаковыми симптомами

В статье рассказано о клинических и диагностических различиях двух заболеваний легких — бронхита и пневмонии. Описываются различия у детей и взрослых.

Два наиболее частых заболевания легочной системы — бронхит и пневмония. На первый взгляд заболевания имеют схожую симптоматику — повышение температуры, кашель. Однако эти болезни необходимо лечить по-разному и поэтому нужно знать, как отличить бронхит от пневмонии.

Как возникают заболевания

Отличие пневмонии от бронхита имеется уже в самом механизме развития патологий.

Причина у них в большинстве случаев одна — вирусная или бактериальная инфекция:

  • При бронхите воспалительный процесс развивается в слизистой оболочке крупных и средних бронхов. Это относительно легкое заболевание.
  • Пневмония характеризуется развитием воспаления в бронхиолах и прилежащей к ним легочной ткани. Процесс протекает тяжелее.

Воспаление слизистой оболочки бронхов

Как отличить бронхит от пневмонии на рентгене — по локализации воспаления

Читайте также:

 

Пример истории болезни по терапии пневмония

Различия в симптомах

Как бронхит отличить от пневмонии на основании клинической картины? Несмотря на то, что оба патологических процесса развиваются в легких, различаться будут и жалобы, и данные осмотра пациента.

Жалобы

Пациенты с пневмонией и бронхитом имеют почти одинаковые жалобы. Но степень их выраженности позволяет определить, каким из двух заболеваний страдает пациент.

Таблица №1. Различия в симптоматике бронхита и пневмонии:

СимптомыБронхитПневмонияТемпература телаПовышается не более 38*СВыше 38*СХарактер кашляСухой, боль в груди выражена незначительно.Влажный, часто с мокротой. Присутствуют боли в грудной клетке со стороны воспаления.Изменение цвета кожиОтсутствует.Кожа бледная с цианозом носогубного треугольника.ОдышкаОтсутствует или слабо выражена.Присутствует одышка после физических нагрузок и в покое.Интоксикация организмаОтсутствует или слабо выражена.Выражена значительно.

Отличие бронхита от пневмонии у детей зависит от особенностей строения дыхательной системы. Легкие ребенка обильно кровоснабжаются. Поэтому возможны частые воспалительные процессы. При пневмонии у ребенка быстро развивается сильная интоксикация, это заметно уже на второй день болезни. При бронхите состояние ребенка страдает меньше.

Данные осмотра

Каково отличие бронхита от пневмонии у взрослых в клинической картине? Если по жалобам больного не всегда можно определить различия между болезнями, то по данным осмотра врач практически окончательно устанавливает диагноз.

Таблица №2. Симптомы бронхита и пневмонии у взрослого:

ПризнакиБронхитПневмонияВнешний осмотрНет специфических симптомовНет специфических симптомов. Возможны цианоз и бледность кожных покровов.Выслушивание легкихРавномерные множественные хрипыЛокальные хрипы над определенным участком легкого.Перкуссия легкихКоробочный звукПритупленный.Характер кашляМалопродуктивный, сухой, свистящий кашельВлажный кашель и мокрота.

Как отличить у ребенка бронхит от пневмонии при осмотре? Разница в проявлениях этих двух заболеваний такая же, как и у взрослых. Самое важное, чем отличается бронхит от пневмонии у детей, и что редко наблюдается у взрослых — синдром обструкции. Обструктивный бронхит возникает у 70% детей.

Кое-что еще, чем пневмония отличается от бронхита — это возможные осложнения. При пневмонии, осложнения более серьезного характера, они делятся на 2 группы.

К легочным осложнениям относят:

абсцесс;

распад легкого;

отек;

дыхательная недостаточность;

эмпиема плевры;

деструкция легкого.

Внелегочные осложнения:

менингит;

сепсис;

шок;

острая сердечная недостаточность;

анемия;

кома.

Осложнениями бронхита могут быть пневмония, бронхоэктазы, астма.

Различия в диагностике

Как отличить бронхит от пневмонии у взрослого и ребенка, используя диагностические методы? При бронхите инструментальная и лабораторная диагностика применяется редко, в большинстве случаев диагноз выставляется только по симптомам. Однако определенные различия все же имеются.

Таблица №3. Отличия бронхита и пневмонии:

Вид диагностикиБронхитПневмонияИсследование кровиЧисленность лейкоцитов повышена умеренно, при вирусном бронхите понижена. СОЭ нормальная или умеренно повышена.Повышение числа лейкоцитов до 40-60г/л при норме 4-9г/л. Значительное увеличение СОЭ. Биохимический анализ указывает на снижение содержания кислорода в крови.Характер мокротыЗависит от степени поражения бронхов. При обычном бронхите она скудная, слизистая, прозрачная или белого цвета. Если развились осложнения, то мокрота становится становится студенистой, в ней появляются гнойные вкрапления.Также зависит от степени поражения легких. Мокрота обильная, зеленоватого или ржавого цвета с примесями. Иногда имеет зловонный запах.Признаки на рентгене (на фото)Усиленный сосудистый рисунок.Локальные инфильтраты. Затемнение участка легкого имеет четкие границы.

Наиболее информативным методом является томография, но цена такой диагностики достаточно высока. Применяют ее только в отдельных случаях.

Длительность заболевания — это еще одно, чем отличается бронхит от пневмонии у взрослых и детей. Острый бронхит обычно проходит за неделю, хотя кашель может сохраняться и дольше.

Чтобы вылечить пневмонию, потребуется 10-14 дней. В некоторых случаях необходима дифференциальная диагностика. Подробнее о ней расскажет специалист в видео в этой статье.

Усиление сосудистого рисунка, наблюдаемое при бронхите

Очаговая пневмония на рентгенограмме

Неспециалисту легко спутать симптомы бронхита и пневмонии, так как часто они бывают схожи. Незалеченный бронхит может осложниться пневмонией.

Заболевание может спровоцировать летальный исход. При любых признаках простуды необходимо обращаться к врачу. Только он знает, как отличить бронхит от пневмонии, и только он может назначить грамотное лечение.

Читать далее…

Ссылка на основную публикацию
Похожее